रविवार, 30 अप्रैल 2017

यारो ! उठो, चलो, भागो, दौड़ो

कुछ साल पहले यमुनानगर (हरियाणा) में हम लोगों के प्रवास के दौरान मैं अकसर बहुत ही बुज़ुर्ग हो चले एक इंसान को अकसर देखा करता ...जिनकी पीठ पूरी तरह से आगे की तरफ़ झुक चुकी थी ..लेकिन वह सुबह-शाम अपने बाज़ार के सारे काम खुद ही निपटाते दिखते..कैसे? वह एक साईकिल का सहारा लेकर उस के सहारे पैदल चल कर ही सब कुछ खरीदते दिखते...

मुझे ध्यान है यहां लखनऊ में भी मैंने कईं बार देखा कि बाज़ार में कभी कभी बुज़ुर्ग को साईकिल का सहारा लेकर अपनी खरीदारी करते हुए..

कईं बार सुबह टहलते हुए कोई बुज़ुर्ग महिला या पुरूष दिख जाता है जो वाकर की मदद से धीरे धीरे टहल रहे होते हैं...मुझे अपना समय याद आ जाता है ... १२ साल पहले मेरा फिश्चूला का जब आप्रेशन हुआ तो मुझे भी चिकित्सक ने रात के खाने के बाद थोड़ा टहलने की हिदायत दी ...और अस्पताल में दाखिल रहते हुए जब मैं रात को नीचे १०-१५ मिनट नीचे टहलने जाता तो मुझे कितना अच्छा लगता, यह मैं ब्यां भी नहीं कर सकता.. मुझे बस इसी बात का इंतज़ार रहता कि कब मैं ठीक से अपनी चाल चल पाऊंगा...

लेकिन हम लोग ठीक ठाक होने पर कैसे सब कुछ भूल जाते हैं..और सेहत को तो ऐसे समझते हैं जैसे कि हम लोगों को १०० साल की गारंटी मिल चुकी है ..नहीं, ऐसा नहीं है...

मुझे याद आ रहा है यहां लखनऊ में अपनी कॉलोनी में एक बुज़ुर्ग वाकर की मदद से टहला करते थे ..शायद अधरंग का शिकार थे ...साथ में उन की मदद के लिए एक हेल्पर भी होता था ...और कुछ महीनों के बाद उन की चाल के साथ साथ उन का चेहरा भी निखरने लगा था...

मैं अकसर यही बात शेयर करता हूं कि किसी की कैसी भी हालत हो वह अपने सामर्थ्य के अनुसार उठे, चले, भागे, दौड़े ....तभी बात बनने वाली है ..केवल पढ़ने-लिखने से कहां कुछ होता है ... ज्ञान तो हम सारा दिन वाट्सएप पर लेते-देते ही रहते हैं, उसमें क्या है! कल वाट्सएप पर किसी ने अखबार की एक कतरन शेयर की गई जिस में विश्वविख्यात हृदय रोग विशेषज्ञ डा त्रेहन का एक बीवियों को एक मशविरा छपा था कि वे अपने पति को तब तक नाश्ता न दें जब तक वह ५५ मिनट तक कसरत न कल लें...

आज भी सुबह मैंने लखनऊ की जेल रोड़ पर जाते हुए इस बुज़ुर्ग को ऐसे साईकिल को थामे हुए चलते देखा तो मुझे पहली बार तो दूर से देखने पर यही लगा कि पैंचर हो गई होगी साईकिल ..लेकिन फिर उन के स्पोर्टस शूज़ आदि देख कर लगा कि यह भी टहलते हुए एक सहारे के तौर पर ही इस साईकिल को इस्तेमाल कर रहे हैं..


रहा नहीं गया बिना पूछे...उन के पास रूक कर पूछ ही लिया कि साईकिल में खराबी है कोई?..."नहीं, नहीं, वैसे ही टहल रहा हूं." उन से अपेक्षित जवाब मिलने पर मैं इतना कह कर अागे निकल गया... "बहुत अच्छा, टहलना तो बहुत बढ़िया बात है!"

इस बुज़ुर्ग के एक घुटने में बहुत दिक्कत लग रही थी...लेकिन फिर भी टहलना जारी है !

आगे जाते हुए मैं यही सोच रहा था कि जब भी मुझे ऐसा कोई शख्स मिल जाता है सड़क पर आते जाते तो मैं उस की फोटो खींच कर अपने ब्लॉग पर शेयर अवश्य करता हूं ...एक रिमांइडर की तरह ...और बस अाप को ही याद करवाने के लिए ही नहीं, अपने आप को भी याद दिलाने के लिए भी कि जब तो हाथ-पांव चल रहे हैं, इन को अच्छे से इस्तेमाल कर लेने में ही समझदारी है ...वरना बाद में तो वही बात है ...अब पछताए होत क्या...

पुरानी आदतें बदलनीं, नईं अच्छी आदतों को ओढ़ना....बहुत मुश्किल काम है ...इसलिए छोटी छोटी बातों के बारे में सचेत रहिए...मेरी तरह नहीं कि कईं महीनों से साईक्लिंग बस इस लिए बंद है क्योंकि साईकिल में हवा नहीं है, इस से ज़्यादा बेवकूफ़ाना बहाना भी कोई हो सकता है क्या अपने शरीर को कसरत से दूर रखने के लिए!

देखता हूं आज कुछ करता हूं...मानना ना मानना आप के अपने हाथ में है, जो भी हो, इस तरह के बुज़ुर्ग राह में चलते-फिरते शायद हमें कुछ भूले हुए पाठ याद दिलवा देते हैं...

जाते जाते एक बात याद आ गई ...सरकारें बदलती हैं तो वफ़ादार भी बदल जाते हैं...नियम कायदे बहुत कुछ बदलता है ..पुरानी सरकारों के फैसलों के निर्णयों की समीक्षा होने लगती है, उन के घोटालों की खोजबीन होने लगती है..लेकिन शायद आटे के साथ घुन भी पिस जाता है ...कुछ दिन पहले खबर थी कि यूपी में पिछले शासन-काल के दौरान जो सड़कों के किनारे साईक्लिंग पथ बने हैं ..Cycle Track.. बने हैं, उन की समीक्षा भी होगी कि क्या उन्हें रखा जाएगा या नहीं....मेरा व्यक्तिगत विचार है कि चाहे साईकिल किसी एक पार्टी का चुनाव-चिन्ह है, लेकिन फिर भी इन साईकिल ट्रैकों को इस रद्दोबदल की आंच से दूर से रहने दिया जाए....लंबे अरसे के बाद देश में साईकिल चलाने वालों के बारे में भी कुछ हुआ है ...बेहतर होगा इस से प्रेरणा लेकर यह काम आगे बढ़ाया जाए.. वरना एक बार समीक्षा की खबरें तो बाहर आ ही गई हैं ...और वैसे भी ये जो सड़कों-रास्तों पर कब्जा कर के बैठ जाते हैं..उन्हें तो बस एक इशारा ही काफ़ी होता है!


शनिवार, 29 अप्रैल 2017

सारी ड्रामेबाजी है पेज थ्री वाली ...

महान एक्टर विनोद खन्ना साहब नहीं रहे, मन दुःखी है ...

कल रात मैं दो तीन अखबारें देख रहा था जिस में उन के स्वर्गवास होने के समाचार के साथ साथ बहुत से श्रद्धांजलि संदेश भी छपे हुए थे...

वे संदेश पढ़ते पढ़ते मुझे यही लग रहा था जैसा कि मेरा विश्वास भी है कि दुनिया में सब शब्दों का ही खेल है..लिखे-पढ़े गये, कहे-सुने गये ...और वे शब्द भी जो कभी कहे नहीं गये लेकिन आंखें बेहतर ढंग से कह गईं....हम इस आंखों की भाषा को अकसर कम आंक लेते  हैं लेकिन हैं ये भी दिल की जुबां...शायद इसीलिए लोग कुछ अवसरों पर काला चश्मा चढ़ा लेते होंगे..

हां, तो जब मैं श्रद्धांजलि संदेश पढ़ रहा था तो मुझे एक बार बड़ी अजीब सी लगी ...सब लोगों ने कहा कि वे बहुत हेंडसम थे, बड़े अच्छे इंसान थे, और एक्टर तो एकदम सुपरहिट तो थे ही... वह तो यार हमें भी पता है ..लेकिन जो बात इन सब संदेशों में गायब थी कि ये लोग कब विनोद खन्ना साहब का हाल चाल लेने पहुंचे थे ...

वे बीमार तो पिछले दो साल से चल ही रहे थे ...किसी ने लिखा कि उन से मिले कईं साल हो चुके थे ..लेकिन वे थे बहुत अच्छे...एक ने कहा कि वह उन के थोड़ा ठीक होने की इंतज़ार कर रहा था, ताकि वह फिर अपने भाई के साथ जा कर उन का हाल चाल पता कर के आते...

सब ऐसी ही बातें थी ..किसी ने यह नहीं लिखा कि हम उन्हें अस्पताल में कब मिल कर आए...बस, वह नाटक हमें उन की सांसे थमने के बाद दिखा कि कौन सा बंदा कौन सा काम छोड़ कर उन के यहां पहुंच गया। 

वैसे यह बॉलीवुड का ही हाल नहीं है...समाज का भी तो यही हाल है ..किसी के पास किसी के लिए समय ही कहां हैं..बस ऐसे ही लफ़्फाज़ी है ...कोई इसे अच्छे से कर पाता है, कोई इस में भी पीछे रह जाता है ....लेकिन सोचने वाली बात यह है कि फर्क पड़ता है!!

मुझे यह तो आभास है कि हम सब लोगों की तरह इन फिल्मी हस्तियों की ज़िंदगी भी खोखली ही होती है ....बस बाहरी चमक दमक ही इन्हें रखनी पड़ती है...वरना कौन इन्हें विज्ञापनों के लिए करोड़ों देगा.. 

बस, एेसी ही ड्रामेबाजी है बॉलीवुड में भी ...बिल्कुल बाहर वाले हमारे समाज की ही तरह ...

खुशकिस्मत हैं वे लोग जो अपनी शर्तों पर ज़िंदगी को जी पाते हैं ...वरना लोग तो हरेक को खुश करने के चक्कर में अपनी ज़िंदगी कबाड़ कर लेते हैं...


मुझे ध्यान आ रहा था कि हम लोग कह तो देते हैं कि फलां फलां कलाकार इस उम्र में भी काम कर रहा है ..लेकिन सोचने वाली बात है कि वह काम क्या कर रहा है, कोई समाज सेवा का या परोपकार का काम हो तो बात भी है, वरना करोड़ो रूपये लेकर तेल मालिश के विज्ञापन, पान मसालों के विज्ञापन कर के क्या हासिल .. पानमसाले का विज्ञापन इतना बड़ा स्टार है कि सोच रहा हूं कि पानमसाले पर एक किताब छाप कर उसे तो भेज ही दूं... पैसे की क्या कमी होती है इन हस्तियों के पास, अगर ये चाहें तो बहुत से सामाजिक सरोकारों से जुड़ कर समाज की बेहतरी के लिए काम कर सकते हैं...

कल रात मच्छरों के आतंक की वजह से १ बजे के करीब उठ बैठा...टीवी लगाया तो देखा कि धर्म भाजी कब्ज दूर करने वाली किसी दवाई का बहुत लंबा विज्ञापन कर रहे हैं... कम से कम १५-२० मिनट तक तो चला ही होगा यह विज्ञापन!! 

दुनिया में तो सारी ड्रामेबाजी ही है...लफ़्फ़ाज़ी है ...कोई किसी की चापलूसी में लिप्त है, कोई किसी की खुशामद में संलिप्त है, लफ़्फ़ों का खेल है बस! बंद करो यार यह नौटंकी ...जाने वाले को क्या फ़र्क पड़ता है कि कौन उसे श्रद्धांजलि देने आया, कौन नहीं आया...He was already an eolved soul who would be remembered for being a great human being and great artist.....rest in peace, Vinod Khanna! 


खुली नज़र क्या खेल दिखेगा दुनिया का , बंद आंख से देख तमाशा दुनिया का ....पिछले दिनों मैंने इस गीत को बहुत बार सुना...गीतकार ने भी क्या गजब लिख दिया है!!


शुक्रवार, 28 अप्रैल 2017

कल शाम मुझे गौरक्षक याद आये...

गौरक्षा की बहुत बातें चल रही हैं... जब भी यह चर्चा चलती है तो नरेन्द्र मोदी का एक भाषण याद आ जाता है कि गौरक्षकों को यह बात समझनी होगी कि असल में अगर वे गौरक्षक हैं तो उन्हें गौमाता को प्लास्टिक खाने से बचाने के लिए कुछ काम करना चाहिए..

जिस तरह से गाएं प्लास्टिक खा खा के बीमार हो रही हैं, मर रही हैं, वह चिंता का विषय तो है ही....मोदी ने अपने भाषण में बताया कि गुजरात के सीएम रहते हुए अपने संस्मरण साझा किए कि किस तरह के गऊयों का आप्रेशन करने के बाद एक एक बाल्टी भर प्लास्टिक उन के पेट से निकाला जाता था..





कल ट्रेन में यात्रा करते समय गाजियाबाद स्टेशन से पहले बाहर नज़र गई तो इस तरह के मंज़र देख कर चिंता यही हुई कि हर तरफ प्लास्टिक के अंबार लगे हुए हैं...इतने कानून बन गये...इतने नियम कायदे बन गये लेकिन यह प्लास्टिक दिखना बंद नहीं होता...हमें, हमारी धरा को तो यह प्लास्टिक बर्बाद कर ही रहा ...पशु तो इसे खाने से मर रहे हैं!


पानी के छोटे छोटे हौज हम लोग बचपन से देखते रहे हैं...घरों के बाहर ... हमने भी बनवाया था ..लेकिन एक बात नोटिस की कुछ लोग इन में पानी नियमित चेंज करते रहते हैं, साफ़-सफ़ाई करते हैं...लेेकिन हम ने इस तरफ़ कभी इतना ध्यान नहीं दिया...शायद इसलिए कि हमनें कभी उस छोटे से हौज से किसी जानवर को पानी पीते देखा भी नहीं...सुनसान सड़क पर घर था और वह सड़क आगे से बंद थी...शायद यही कारण होगा।
 ये दोनों तस्वीरें अजमेर में खींची थी मैंने ...just took it from my instragram profile @justscribblelife


दो साल पहले में अजमेर गया तो वहां भी घरों के आगे इस तरह के पत्थर से बनी हुई जानवरों के लिए पानी की टंकियां दिखीं...अच्छा लगा...वहां तो प्याऊ भी बहुत नज़र आते हैं...

मैं भी यही मानता हूं कि कुछ ऐसा काम किया जाना चाहिए...कल मैंने देखा दिल्ली के द्वारका एरिया में एक घर के आगे इस तरह की पानी की खुली टंकी सी तैयार करवा रखी थी... यह देख कर मुझे बहुत अच्छा लगा..इस तरह का हौज जानवरों के पानी पीने के लिए मैंने किसी घर के बाहर शायद पहली बार ही देखा था ..

एकदम साफ़ थी यह टंकी और सब से बढ़िया बात यह लगी कि पानी के निकास के लिए भी व्यवस्था है ...यह बहुत ज़रूरी है ...वरना इसी चक्कर में इस तरह की टंकियों में गंदगी इक्टठा होती रहती है कि इस की सफाई टलती ही रहती है ...अगर निकास की व्यवस्था की गई है तो पानी भरना कोई बड़ा मुद्दा लगा नहीं ...वैसे उस के लिए भी यहां एक सुंदर व्यवस्था दिखा नलके की ....वरना बाल्टी भर भर के या पानी की पाईप से इस में पानी भरने का लोग आलस ही करते हैं! यह गृह साधुवाद का पात्र है निःसंदेह !
कल मुझे दिल्ली के द्वारका इलाके में  पानी की टंकी जो एक घर के बाहर जानवरों के इस्तेमाल के लिए दिखी ...

पानी भरने की टूटी और निकासी का भी समुचित प्रबंध ...जय हो!!

काश मछली रक्षक भी होते!

कल मैंने दिल्ली में एक जगह देखा कि फुटपाथ पर एक मछलीयां बेचने वाले ने एक टब में पानी भरा हुआ था..और उस में मछलियां डाल रहे थे ..वे मजे से उन में तैर रही थीं....लेेकिन यह आज़ादी किस काम की ...उसी दुकानदार के पास से लौटते हुए मैंने देखा कि कुछ युवा लोग मछली खरीद रहे थे ..जिस तरह से जिंदा मछली को पकड़ कर वह दुकानदार यातना दे कर मार रहा था उसे देख कर उन में से एक युवक के चेहरे पर जो भाव थे, वे मुझे हमेशा याद रहेंगे....

मैं यही सोच रहा था कि जितनी जितनी पढ़ी लिखी पब्लिक ज़रूरत से ज़्यादा लिख-पढ़ रही है और सब्जियों में फार्म-फ्रेश की तरह मांसाहार के लिए भी सब कुछ अपनी आंखों के सामने ही बरबाद और तैयार हुआ देखना चाहते हैं...उतना उतना इन बेजुबान पशुओं  पर अत्याचार ही बढ़ रहा है....मुझे बहुत बुरा लगा कल यह सब देख कर!


शायद आपने भी नोटिस किया होगा कि कुछ समय पहले तक तो मछलियां बेचने वाले एक ऐसा छोटा सा टब रखते थे जिस में बिल्कुल थोड़ा सा पानी डालते थे जिस से मछलीयां न जी ही पाती थीं और न ही मर पाती थीं, बस किसी ग्राहक के आने तक छटपटाती ही रहती थीं ...ग्राहक के आने पर उन्हें इस तड़प से हमेशा के लिए मुक्ति मिल जाती!

गौशालाओं को बहुत बातें हो रही हैं...कुछ दिन पहले आदित्यनाथ जोगी की गौशाला और मुलायम सिंह के बेटे प्रतीक यादव की गौशालाएं देख कर बहुत अच्छा लगा....सोच रहा हूं किसी दिन गौशाला में ज़रूर जाऊंगा...बहुत सुनता हूं इन के बारे में ...बडा़ पुण्य का काम है ...निःसंदेह ... मैं जानता हूं कुछ लोग इस मिशन में कितनी लगन के साथ लगे हुए हैं...काश! हम सब पशु-पक्षियों के प्रति भी ..सभी प्राणियों ....पेड़-पत्तों के प्रति भी इतने संवेदनशील हो जाएं कि अगर उन्हें खरोंच भी लगे तो दर्द हमें होने लगे...आमीन !

बेटे ने राजस्थान के हिंदु एवं मुस्लिम गौरक्षकों पर कुछ डाक्यूमैंटरीज़ तैयार की थीं एक महीना पहले ....सोच रहा हूं मुस्लिम गौरक्षकों वाली उस यू-ट्यूब वीडियो को यहां शेयर करूं...


बंद कर रहा हूं इस पोस्ट को .....कुछ सिर पैर मुझे ही समझ में नहीं आ रहा ....कहीं आप के सब्र का इम्तिहान ही न लेने लगूं !!
(लेखक २३ वर्षों से शुद्ध शाकाहारी है ...अपनी मरजी से ...बिना किसी तरह के दबाव के .....Just because of simple principle ...  जियो और जीने दो!)




पान मसाले-गुटखे की लत ऐसे भी लगती है!

बचपन में हमारे पड़ोस में एक बुज़ुर्ग महिला थीं.. बहुत अच्छी...अकसर जब मुहल्ले के बच्चों में से कोई बाज़ार जाता दिखता तो उसे चुपके से नसवार लाने के लिए पैसे देती .. और अकसर हम उन्हें देखा करते कि वे चुपके चुपके इस नसवार को अपने दांतों पर घिस रही होतीं (परदे में)...

हमें यह भी नहीं पता था उस लड़कपन में कि यह नसवार होती क्या है, बस हमें यह बात पता थी कि वह बुज़ुर्ग काकी उसे अपने दांतों पर घिसती हैं और हमें वह खुशबू कुछ कुछ अलग लगती है ... न अच्छी न बुरी। 

पर जब हम लोग थोड़े बड़े हो गये तो हमें काकी बताया करती थीं कि यह बुरी आदत मुझे दांतों की वजह से लग गई....जब दांतों में दर्द होता, मैं इसे घिसती और राहत महसूस होती ...बस, यह कब लत लग गई, पता ही नहीं चला...

वैसे उस समय में हम लोग अकसर देखा करते थे कि लोग दांत दर्द से निजात पाने के लिए नसवार दांतों पर घिस कर खटिया पर लेट जाते और मुंह से लार टपकने देते कि इस से दर्द ठीक हो जायेगा...मैंने अपनी मां को भी बहुत बार ऐसा करते देखा...
समय बीतता चला गया....काकी का मुंह तो बच गया ..दांत सारे गिर तो गये और नकली दांत भी लगवा लिए... लेकिन फिर अचानक उन्हें मूत्राशय का कैंसर हो गया...आप्रेशन भी हुए...रेडियोथैरिपी(सिकाई) भी हुई...लेकिन वे चल बसीं..

तंबाकू ज़रूरी नहीं कि मुंह में ही अपना ज़हर उगलता है ...यह काम यह किसी भी अंग को निशाना बना कर सकता है ...मूत्राशय के कैंसर का रिस्क तंबाकू चबाने वालों में बहुत ज़्यादा तो होता ही है ...

मुझे कुछ दिनों से वह काकी बहुत याद आ रही थी बार बार .... खास कर जब से विनोद खन्ना के मूत्राशय के कैंसर का पता चला था ...आप को भी याद होगा विनोद खन्ना धूम्रपान काफ़ी किया करते थे...मुझे बहुत दुःख है विनोद खन्ना के चले जाने का भी ..बचपन से लेकर बड़े होने तक उन की बहुत सी फिल्मों की यादें हमारे साथ हैं...बेहतरीन शख्स, कलाकार...शायद ही इन की कोई फिल्म होगी जो अमृतसर के किसी थियेटर में ही लगी हो और वह मिस हो गई हो ...

अफसोस, कैंसर से जंग हार गये वह भी ..

मेरे लिखने का यह आशय बिल्कुल नहीं है कि जो लोग तंबाखू का इस्तेमाल करते हैं वे सभी मूत्राशय के कैंसर के शिकार होंगे ..या जो लोग तंबाकू नहीं पीते-खाते-चबाते वे ताउम्र इस मामुराद बीमारी से बचे रहेंगे...चाहे मैं ऐसा नहीं कह रहा हूं..लेकिन इतना तो पक्का है ही कि तंबाकू से इस बीमारी का रिस्क भी बढ़ जाता है ...

जब मुझे आज एक ४५ वर्षीय महिला अपने दांत दिखाने आईं तो उस से यह सुन कर हैरानगी नहीं हुई कि पहले तो वह कुछ पानमसाला आदि नहीं खाती थीं.. लेकिन १०-१२ साल पहले उस के दांतों में दर्द होने लगा तो किसी के कहने पर जब उस पर पान मसाला घिसने लगीं तो आराम सा लगने लगा ...बस ऐसे करते करते लत ही पड़ गई...

मुंह के अंदर की चमड़ी सफेद पड़ गई है, मुंह पूरा खुल भी नहीं रहा 

उस महिला ने १०-१२ साल पहले जिस पानमसाले से शुरूआत की थी उस में दरअसल तंबाकू भी मिला रहता था ...फिर एक साल बाद उसने मसाला बदल दिया.... और पिछले कुछ वर्षों से तो उसने ऐसा मसाला शुरू कर लिया है जिस के साथ तंबाकू अलग पाउच में मिलता है ...और ये दोनों को यह खाने से पहले मिला लेती हैं... और सारे दिन में दो तीन पाउच तो खप ही जाते हैं... 

बातों बातों में यह भी पता चला कि वह केवल पानमसाला ही नहीं चबातीं, बल्कि जब दांतों में दर्द होता था तो किसी के कहने पर तंबाकू वाला मूसा का गुल मंजन भी घिसना शुरू कर दिया था ... पहले पहल तो बता रही थीं कि उसे लगाने पर ऐसा चक्कर आता कि वहीं की वहीं बैठ जाती लेकिन दर्द में राहत महूसस होती ..फिर उस की भी लत लग गई ...और दिन में दो तीन बार इस गुल-मंजन को घिसने लगीं...
गाल के बाएं तरफ़ की अंदर की चमड़ी (बिल्कुल सूखे चमड़े जैसी सख्त हो चुकी है) 

दाएं तरफ की गाल के अंदर की हालत ..छोटे छोटे घाव भी बने रहते हैं

अब कभी कभी जब इस तंबाकू वाले मंजन को घिसने की इच्छा नहीं होती तो यह किसी सामान्य पेस्ट का इस्तेमाल कर लेती हैं...अब इन की समस्या यही है कि मुंह में घाव हैं...कुछ भी खाने पीने से बहुत चुल होती है ...परेशानी बहुत ज़्यादा होती है ...
इस महिला को इस के मुंह के अंदर की ये सभी तस्वीरें दिखा कर १५-२० मिनट लगा कर इसे सभी तरह की ऐसी आदतों को छोड़ने के लिए प्रेरित किया .. और ऐसा न करने के क्या परिणाम हो सकते हैं...इस से भी आगाह करवाया...बातों से तो लगा है कि वह यह सब कुछ छोड़ने के लिए राजी हो गई है ..क्योंकि इस बीमारी का सब से बडा़ इलाज ही यही है ...

आप इन के मुंह के अंदर की फोटो मेें देख सकते हैं कि कैसे मुंह के अंदर की चमड़ी --मुंह के पिछले हिस्से में और गालों के अंदरूरनी हिस्सों में पीली तो पड़ ही चुकी है और बिल्कुल सूखे चमड़े जैसी सख्त भी हो चुकी है ..घाव तो दिख ही रहे हैं...जिन पर लगाने के लिए दवाई दी है और कुल्ला करने के लिए माउथ-वाश.....लेकिन सच्चाई यह है कि जब तक यह इस आदत को नहीं छोडेंगी, कुछ खास फ़र्क नहीं पड़ेगा... 

दांत के दर्द से निजात पाने के लिए
कुछ लोग दांत के दर्द के लिए तंबाकू घिसने लग जाते हैं - जैसा कि ऊपर चर्चा हुई है, कुछ लोग दांत के दर्द के चक्कर में इस लत का शिकार हो जाते हैं..

सुबह पेट साफ ही नहीं होता 
जिस महिला के बारे में मैंने ऊपर लिखा है उस ने भी यही कहा कि सुबह जब तक गुल मंजन घिस नहीं लेती, पेट साफ ही नहीं होता...लेकिन इस तरह की भ्रांतियां जनमानस में बहुत लंबे समय से व्याप्त हैं...बीड़ी के बिना हाजत नहीं होती, तंबाकू के बिना पेट साफ़ नहीं होता...

काम ही ऐसा है, क्या करें
मैंने बहुत बार स्वच्छ कारों को भी इस पानमसाले-गुटखे से दूर रहने के लिए प्रेरित किया है ..लेकिन उन का एक ही तर्क होता है कि क्या करें, काम ही ऐसा है... बिना इसे खाए-चबाए तो हम खड़े नहीं हो सकते! लेकिन फिर भी मैं बार बार इन्हें याद दिलाता ही रहता हूं कि यह कोई समाधान नहीं है...कुछ मान जाते हैं और कुछ टालते रहते हैं..

भारी काम, रात की ड्यूटी 
बहुत से वर्कर यह कहते हैं कि पहले इन सब चीज़ों का सेवन नहीं करते थे ..लेकिन जब से यह भारी काम करते हैं..रात की शिफ्ट में काम करते हैं तो नींद को दूर भगाने के लिए और सचेत रहने के लिए सहकर्मियों के अनुऱोध पर थोडा़ थोड़ा मसाला रखते रखते बस कब यह खेल लत में बदल गया, पता ही नहीं चला, अब छोड़ ही नहीं पा रहे। 

पीप अंदर नहीं लेते, थूक देते हैं
बहुत से लोगों में यह भ्रांति है कि वे तो बस गुटखे-मसाले को गाल के अंदर थोड़ा दबा देते हैं...चबा कर उस के रस को अंदर भी नहीं लेते, बस थूकते जाते हैं....लेकिन यह भी एक बहुत बड़ी भ्रांति है कि अगर मसाले वाली लार को अंदर नहीं ले रहे हैं तो सब कुछ ठीक ठाक है ...ऐसा बिल्कुल नहीं है, चाहे आप उसे चबाएं या नहीं चबाएं, आप जहां पर भी गुटखा-पानमसाला मुंह में रखते हैं...उस के हानिकारक तत्व वहीं से ही शरीर के अंदर प्रवेश पा लेते हैं ...एक बात, दूसरी बात यह कि वहां पड़े पड़े भी वे क्या तांडव करते हैं, इस का ट्रेलर भी आप कितनी ही बार मेरी पोस्टों के माध्यम से देख चुके हैं...जैसा कि इस महिला के मुंह वाली तस्वीरों से भी आप देख सकते हैं कि मुंह के अंदर वाली चमड़ी की कितनी बुरी हालत हो चुकी है...इस अवस्था को ओरल-सब-म्यूक्स-फाईब्रोसिस कहते हैं जो कि निश्चित ही मुंह के कैंसर की एक पूर्वावस्था है ....अगर आदमी इस अवस्था तक पहुंचने पर भी नहीं समझता तो फिर कौन उस की मदद कर सकता है!.....इस अवस्था में भी अगर यह सब लफड़ा करना बंद कर दिया जाए तो स्थिति बद से बदतर होने से बच जाती है ..

जैैसा कि मैं हमेशा कहता हूं...इन तरह के जानलेव शौक से बचे रहिए, बचाते रहिए... और कोई रास्ता है भी नहीं!!

इतनी बोझिल टॉपिक था आज का.... एक गीत चला रहा हूं ... विनोद खन्ना साब का .. विनम्र श्रद्धांजलि इस महान अभिनेता को .. 




मंगलवार, 25 अप्रैल 2017

आंवला जूस के बारे में आप भी सचेत रहिए...


आंवले के जूस के बारे में कल मुझे मेरी बड़ी बहन से एक वाट्सएप मैसेज मिला ...दरअसल हर घर में कोई न कोई तो इस जूस का दीवाना हो चला है ...पिछले कईं सालों से ..इसलिए ऐसी खबर पढ़ कर एक दूसरे की चिंता हो जाना भी स्वाभाविक सी बात है!

आंवला अच्छा है, मुरब्बा अच्छा है...आंवले का पावडर बढ़िया है ...आंवले का आचार, चटनी, कैंडी भी अच्छे हैं...लेकिन जब से यह आंवले का जूस बाज़ार में आया है ना तभी से मेरे मन में इस के बारे में अजीब से विचार हैं...

अब ब्लॉग है तो ज़ाहिर सी बात है कि विचार ही होंगे, मैं कोई लैबोरेट्री तो खोल कर बैठा नहीं हूं कि सब कुछ अपने जांचे-परखे तथ्यों के आधार पर ही कहूं...ऐसा नहीं हो सकता, इस काम के लिए देश की बड़ी बड़ी विश्वसनीय लैब्स हैं जो यह काम बखूबी कर रही हैं...जैसा कि आप इस रिपोर्ट में भी देख सकते हैं..

रात को सोते समय जिज्ञासा सी हुई कि ज़रा इस वाट्सएप मैसेज की विश्वसनीयता ही जांच ली जाए...गूगल के अलावा कोई साधन है नहीं इस के लिए भी ... इसी न्यूज़-स्टोरी का शीर्षक लिख कर गूगल किया तो ये रिज़ल्ट आ गये ...बात पक्की हो गई.. (आप इस लिंक पर क्लिक कर के देख सकते हैं) और टाइम्स ऑफ इंडिया के ऑनलाईन संस्करण में भी यह खबर दिख गई ...

कलकत्ता की एक लैब ने इस आंवला जूस की जांच करने पर पाया है कि इसे पीना असुरक्षित है .. आर्मी की कैंटीनों में इस की बिक्री बंद कर दी गई है ...

जब हम लोग आंवले जैसे किसी खाद्य पदार्थ के जूस के बारे में सोचते हैं तो मन में कुछ बूंदों की कल्पना होती है ... न कि बड़ी बड़ी आंवले जूस से भरी एक लिटर बोतलों की ...लेकिन यह प्रश्न मेरे मन में ही रहा इतने वर्षों से कि इस तरह के आंवले के जूस कैसे हैं जो इतनी इतनी बड़ी बोतलों में मिलते हैं..एक बोतल भरने के लिए पता नहीं कितनी बोरी आंवले पीसे जाते होंगे..

कल रात मेरी जब मिसिज़ से इस बारे में बात हुई तो उन का भी यही विचार था कि इस तरह के आंवला-जूस वैसे नहीं होते होंगे जैसा पब्लिक समझती है कि जैसे हम लोग संतरे-कीनू का जूस निकालते हैं....यह जूस वह होगा जो आंवला कैंडी बनाते समय आंवले को पानी में उबालने से बच जाता होगा......बात मेेरे भी मन को लगी तो!

मैं किसी एक ब्रांड की बात भी नहीं कर रहा हूं...लेकिन एक बात तो है कि पब्लिक के इस नये जुनून को कैमिस्टों ने खूब भुनाया..एक तरह से रामबाण औषधि की तरह इस जूस को प्रमोट किया गया...यकीनन, आंवला अमृत फल है...इस के सभी उत्पाद भी .....लेकिन इस आंवले के जूस के बारे में रह रह कर मन में प्रश्न आते रहते हैं....

मैं इतने विवादास्पद मुद्दे पर जो कि पब्लिक सेंटीमेंट्स से इतना जुड़ा हुआ है ....इस पर लिखने की हिम्मत जुटा पा रहा हूं क्योंकि रात में एक और वाट्सएप मैसेज भी मिला था ...
"एक क्रिकेटर बता सकता है कि कौन सा इंवर्टर, सीमैंट और दारू अच्छी है...एक एक्टर बता सकता है कि कौन सा अन्डरवियर, दीवार का पेंट, फेस-क्रीम अच्छी है...
लोक सभा का एक सदस्य बता सकता है कि जल शुद्धिकरण का कौन सा यंत्र टनाटन है!
लेकिन एक डाक्टर नहीं बता सकता कि दवाई का कौन सा ब्रांड अच्छा है !
अविश्वसनीय भारत!!"
इसे देख कर यही लगा कि हमें भी किसी भी चीज़ के बारे में अपनी बेबाक राय रखने की हिम्मत करनी चाहिए....वैसे कौन सा पब्लिक हर बात पढ़ कर मान ही लेती है ...वे भी स्वतंत्र हैं सच की खोज करने के लिए.

बहुत से लोग अकसर मिलते हैं जो आंवला जूस रोज़ पीते हैं...मैं किसी को नहीं कहता कि इसे मत पियो या इसे पियो...मैंने एक दो बार ज़रूर पिया था ..लेकिन मैं आंवले का प्राकृतिक रूप में, पावडर रूप में ...आचार-मुरब्बे के रूप में सेवन करना बेहतर मानता हूं...

मुझे कल यही ध्यान आ रहा था कि देश में इतनी ज़्यादा गर्मी पड़ती है ...हम लोग खाने पीने वाली चीज़ों को एक घंटा भी बाहर नहीं छोड़ते, फ्रिज में ठूंसते रहते हैं...और एक हिंदोस्तानी घर में फ्रिज़ में आटा, दाल, सब्जी, दूध-मलाई और पानी की छःसात बोतलें ही इतनी मुश्किल से ठूंसी जाती है कि यह आंवले जूस वाली बोतल को फ्रिज में रखने की जगह ही नहीं बचती होगी ...हमारे यहां भी यह आंवले जूस वाली बोतल मेज पर ही सजी दिखती है ...

अभी मेैं इस बोतल को देख रहा था कि इस में प्रिज़र्वेटिव ..सोडियम बेंजोएट भी पड़ा हुआ है ...वह कोई इतना बड़ा इश्यू नहीं है....अब अगर एक उत्पाद की शेल्फ-लाइफ एक साल बताई जा रही है (आंवले जूस की एक्सपॉयरी तैयार होने से एक साल तक की बताई गई है ...इस सौ रूपये में बिकने वाली एक लिटर बोतल में!) तो ज़रूरी है कि उस में प्रिज़र्वेटिव भी तो होगा!

अब हमारे जैसे गर्म देश में बिना रेफ्रीजरेशन के ऐसे पेय पदार्थ मेज़ों पर सजे रहेंगे तो इन में कुछ तो बदलाव आता ही होगा....मैं नहीं मानता कि इन्हें आप तब भी राम बाण या संजीवनी मानते रहेंगे ...लोग भी इतने सेंटीमेंटल हैं यहां के .....एक घंटा पुरानी लस्सी (छाछ) या दस मिनट पुराना गन्ने का रस तो नहीं पिएंगे ..लेकिन इन सब डिब्बा बंद प्रोडक्टस के बारे में कम ही सोचते हैं!

अब लैब ने रिपोर्ट दी है तो बड़ी जांच परख कर ...ठोक बजा कर ही दी होगी ....शायद आज की अखबार में भी आप को यह खबर दिख जाए... लेेकिन एक बात और भी पक्की है कि आज से ही एक आरोपों-प्रत्यारोपों का अभियान भी मीडिया में चलने लगेगा....कि हम सच्चे हैं, नहीं हम सच्चे हैं....करोड़ों रूपये खर्च किये जाएंगे ...शायद कुछ महीनों बाद कोई आप से यह भी कहने आ जाए (नूडल्स की तरह)  कि नहीं, नहीं, सब ठीक है, गलतफहमी दूर हो गई है, आप जी भर कर इस्तेमाल कीजिए इसे ..........वह तो ठीक है , लेकिन समझदार को बस एक इशारा ही काफ़ी होता है...

मैंने ऊपर भी लिखा कि यह किसी एक कंपनी की बात नहीं है ....  इतनी इतनी बड़ी बोतलों में मिलने वाले जूस मेरे मन में कुछ प्रश्न छोड़ जाते हैं...लेकिन वे मेरे अंदर ही रहे ...मैं तो आंवले से तैयार विभिन्न खाद्य पदार्थों का महिमामंडन ही करता रहा इस ब्लॉग पर भी ..और यह सच भी है ...लेेकिन कलकत्ता की लैब ने हो न हो इस आंवले जूस पर तो एक प्रश्न चिंह लगा ही दिया है ...

हमें खबर पता चली हम ने आगे शेयर कर दी ...लोग मेच्योर हैं...बड़े से बड़े फैसले अपने आप लेने में सक्षम हैं...पता नहीं यह बात मानेंगे कि नहीं.....लेकिन एक काम कीजिए...अगर आपकी मां भी इसे पीती हैं, मेरी मां की तरह, तो उसे ज़रूर मना कर दीजिए....मेरी मां तो मान गई हैं....मां को मनाना कौन सा मुश्किल काम होता है, झट से हमारी बातों में आ जाती हैं! बाहर चाहे हमारी कोई एक बंदा भी न सुनता हो, लेकिन मां के सामने हम तीसमार खां बन ही जाते हैं!!

इस पोस्ट को बंद करते समय यही ध्यान आ रहा है कि ऐसे जूसों की जगह इतने पैसों में तो कोई बंदा कुछ दिन तक बाज़ार में सस्ते बिकने वाले मौसमी फलों का जुगाड़ कर सकता है .....एक ध्यान यह भी आ रहा है कि इन चीज़ों के चक्करों में नहीं पड़ना चाहिए... ताज़ा बना हुआ सीधा सादा हिंदोस्तानी खाना ही सर्वोत्तम है, बाकी सब चोंचले हैं...ज्वार भाटा फिल्म के इस गीत का भी यही क्रक्स है ..दाल रोटी खाओ, प्रभु के गुण गाओ...


आंवले के बारे में एक बार फिर से लिख दूं कि यह तो अमृत फल है ही...मैं भी इसे अकसर खाता ही हूं..पावडर भी लेता हूं बहुत बार .....लेकिन आंवले के जूस के बारे में अपने विचार मैं लिख कर हल्कापन महसूस कर रहा हूं......ज़रूरी नहीं कि आप मेरी इस बात से सहमत हों, मतभेद भी ज़रूरी है ......लेकिन अपने विचार इस पोस्ट के नीचे टिप्पणी के रूप में दर्ज करते जाईएगा....ज्ञान का आदान-प्रदान बड़ा ज़रूरी है...ज़रूरत पड़ने पर मैं अपनी इस पोस्ट में संशोधन भी कर सकता हूं...

बिल्कुल एक unknown territory में आज पंगा ले लिया है, देखते हैं!

सोमवार, 24 अप्रैल 2017

1973 के ज़माने का अपना साथी....सतनाम सिंह!

मैं कईं बार लिख चुका हूं हमारे घर का स्टडी रूम लिखने-पढ़ने की जगह कम और कबाड़खाना ज़्यादा लगता है ...वहां पढ़ने-लिखने के अलावा कुछ भी हो सकता है, रेडियो सुना जा सकता है, सपने बुने जा सकते हैं..और पुरानी यादों को ताज़ा किया जा सकता है ...

मैंने पिछले १५-२० सालों में बहुत बार कोशिश की सब कुछ व्यवस्थित करूं ..लेकिन कभी हो नहीं पाया...कुछ भी ऐसा मिल जाता है जिस की यादों में खो जाता हूं और बस, वह दिन तो गया....

मैं जब भी पुरानी डॉयरियां, कापियां या पर्चियां, विज़िटिंग कार्ड्स देखता हूं तो उन्हें बड़ी एहतियात के साथ संभालता हूं ...और बहुत सोच समझ कर फाड़ता भी हूं कभी कभी....वह क्लेरिटी तो है मुझे। 

आज शाम को भी १४-१५ साल पुरानी एक डॉयरी हाथ लग गई... २००१-०२ के आसपास मैं अमृतसर गया था एक लेखक वर्कशाप के लिए..कुछ दिन वहां पर ही रहा ..और उन दिनों मैंने राइटर वर्कशाप में इतनी रूचि नहीं ली जितनी अपने स्कूल के पुराने साथियों को ढूंढने की मुझे बेसब्री थी...

बड़ा मेहनत का काम था..किसी को उस के बैंक में पकड़ा, किसी को उस की फैक्टरी में, क्लिनिक में ...कुछ को घर में जा कर धर दबोचा, किसी को उस के स्कूल में .....बड़ा मुश्किल काम था...लेकिन जिसे भी मिलता, मिल कर मज़ा आ जाता ...पुराने दिन याद आ जाते ...अपना एक साथी है ...सतनाम सिंह .. १९७३ में मैं डीएवी स्कूल अमृतसर में दाखिल हुआ तो शायद सतनाम पहले ही से वहां पढ़ रहा था ... सतनाम का घर भी हमारे स्कूल के गेट के सामने ही था...याद है कईं बार आते जाते उस के घर में उसे आवाज़ लगा दिया करते थे...हां, तो जब मैं १४-१५ साल बाद अमृतसर गया तो मैं उस गली में भी गया जहां सतनाम का घर था... उस गली में एक कुल्चे बनाने का कारखाना था...सतनाम का कुछ अता-पता-ठिकाना न मिला...

मैंने भी हार नहीं मानी ....धक्के खाते खाते उस का फोन नंबर मिल गया...और उसी दिन ही मुझे वापिस लौटना था...फोन पर बात हुई ...बहुत अच्छा लगा...

हां, तो आज जब मुझे वह डॉयरी मिली तो पन्ने उलटे-पुलटे ...जिन स्कूल के साथियों को मिला था ...और जिन मास्साब के घर भी गया उन सब का ठिकाना और फोन नंबर तो लिखे थे ...एक जगह पर सतनाम का फोन नंबर भी लिखा मिल गया...बहुत खुशी हुई....मुझे सतनाम पर इतना तो भरोसा था कि उसने फोन नहीं बदला होगा...इसलिए जैसे ही फोन मिलाया और ट्रू-कॉलर पर सतनाम लिखा आया तो मज़ा ही आ गया...

खूब बातें हुई ...पुराने साथियों की बातें हुईं... उसे बताया कि अपने स्कूल के साथियों का वाट्सएप ग्रुप है ...उसे भी उस में अब शामिल होना है ... 

यह वाट्सएप ग्रुप वैसे तो एक साल पुराना है ..मैंने उस में बहुत बार कहा कि सतनाम का पता करो....लेकिन शायद कुछ पता लग नहीं पाया... चलिए, कोई बात नहीं, देर आयद..दुरुस्त आयद... 

सतनाम सिंह जो आजकल केंद्र सरकार के एक विभाग में अधिकारी हैं...
हां, तो सतनाम के बारे में दो बातें...सतनाम बड़ा खुले स्वभाव का है ....खूब हंसोड़... जब मैं १९७३ के सतनाम को याद करता हूं तो मुझे खुलेपन से हंसने वाला अपना एक साथी याद आता है...जो हमेशा मस्त रहता था...बड़ी सहज तबीयत, कोई टेंशन वेंशन नहीं लेना उस का स्वभाव था....

आज सतनाम से बात करने के बाद यही लग रहा है कि जिस भी चीज को हम लोग मन से चाहते हैं...वह अपने आप हम तक पहुंच जाती है, वरना कुछ संयोग ऐसा हो जाता है कि हम लोग उस तक पहुंच जाते हैं... इसलिए उम्मीद का दामन कभी नहीं छोड़ना चाहिए.. 

उम्मीद से एक बात याद आ गई ....पुराना एक रिवाज था कि लोग एक बोतल में किसी के नाम चिट्ठी लिख कर समुद्र में डाल दिया करते थे...उस उम्मीद के साथ कि चिट्ठी कभी न कभी तो ठिकाने पर पहुंच ही जायेगी.. अभी कुछ समय पहले किसी को ऐसी ही एक १०८ साल पुरानी एक चिट्ठी मिली है ...कुछ पता नहीं कि किस ने किस को लिखी थी...लेकिन उसे गिनिज़ बुक ऑफ वर्ल्ड रिकार्ड में दर्ज कर दिया गया है ....

तो आज के इस किस्से से हम ने क्या सीखा?....उम्मीद का दामन नहीं छोड़ना चाहिए, उम्मीद पर ही दुनिया टिकी है सारी ...
और एक बात अपनी तरफ़ से जोड़ रहा हूं कि किसी के सपनों पर कभी हंसना भी नहीं चाहिए....कायनात बहुत बड़ी है, सब के हिस्से का आकाश है! 

हां, एक बात लिखनी तो भूल ही गया कि इतने सालों के बाद बात करने पर भी सतनाम को याद था कि हम दोनों की १४-१५ साल पहले बात हुई थी और वह बता रहा था कि वह लोगों से यह शेयर करता रहा इन सालों में कि अपना एक साथी आया था ..उसने पता नहीं कितनी मेहनत-मशक्कत कर के मेरा नंबर पता किया ..लेकिन अपनी मुलाकात नहीं हो सकी ..और सतनाम यह भी बता रहा था कि वह उसे हमारे घर के पास वह जगह भी बड़ी याद आती है ...जहां वह खेलने जाया करता था...कह रहा था कि लोगों को उस के बारे में बताता हूं जब भी उधर से गुजरता हूं.. 

कोई गल नहीं, सतनाम...कोई गल नहीं ...मिलांगे यार ज़रूर ....वादा रिहा ...जिउंदे वसदे रहो ..यारां नाल बहारां..

शनिवार, 22 अप्रैल 2017

दांतों में ठंडा-गर्म लगना क्या पेस्ट ठीक कर सकती है?

जिस तरह से दांतों में ठंडा गर्म लगना ठीक करने वाली पेस्टों के मन-लुभावन विज्ञापन टीवी पर दिन में बार बार दिखते हैं...उसी उत्साह के साथ लोग इन को खरीद भी रहे हैं..

मेरे बहुत से मरीज़ जब एक दो ऐसी पेस्टों का नाम लेते हैं तो मुझे बहुत हैरानी होती है ... यहां पर विज्ञापन के बलबूते आप कुछ भी बेच सकते हैं...

कुछ दिनों से सोच रहा था कि इस के बारे में लिखूंगा ...

बिल्कुल सीधी सी बात है कि अगर किसी के दांतों में ठंडा लग रहा है बार बार तो उसे दंत चिकित्सक को दिखाना ही होगा ..बिना उसे दिखाए, अपने आप ही कोई टुथपेस्ट दांतों में घिसना बिल्कुल वैसा ही है जैसा कि कोई किसी भी दर्द के लिए दर्द निवारक टिकिया लेनी शुरू कर दे और इस दर्द का कारण ही न पता किया जाए...

चलिए, चंद मिनटों में दांतों में ठंडा गर्म लगने के कारण एवं उपचार की चर्चा कर लेते हैं...

ब्रुश अथवा दातुन का गलत इस्तेमाल 
इस गलत इस्तेमाल से दांतों की ऊपरी परत जिसे इनेमल कहते हैं वह उतर जाती है, दांत घिस जाता है ...और ठंडा़-गर्म लगना शुरू हो जाता है ... जब तक दांतों पर पड़ी खरोंचों का समुचित इलाज नहीं करवाया जायेगा और अपने दांत साफ करने का तरीका ठीक नहीं किया जायेगा, तब तक ये बाज़ार में मिलने वाली पेस्टें केवल आप के लक्षण शायद कुछ समय के लिए दबा दें, बस और कुछ नहीं कर सकती ये पेस्टें।

खुरदरे मंजन एवं पेस्ट 

आज बाज़ार में देशी के नाम पर कुछ ऐसी खतरनाक पेस्टें चल रही हैं जिन में गेरू मिट्टी और तंबाकू तक मिले हुए हैं... ऐसे पेस्ट भी दांतों को घिस देते हैं ...उपचार वही है कि घिसे हुए दांत को वापिस शेप में लाया जाए, इन पेस्टों एवं मंजनों से तौबा कर ली जाए...लेकिन अकसर इस तरह की पेस्टों को इस्तेमाल करने वाले बडे़ ढीठ किस्म के प्राणी होते हैं....उन्हें लगता है कि उन पेस्टों में सभी गुण हैं, मान तो जाते हैं, लेकिन बड़ी मशक्कत करनी पड़ती है ..
इन लोगों के लिए टीवी में विज्ञापन वाली ठंडी गर्म के इलाज वाली पेस्टें भी बेकार हैं... कुछ नहीं होता इन से ..

पायरिया की वजह से 
जिन लोगों में पायरिया है, मसूड़ों में सूजन है ...मसूड़े दांतों को छोड़ चुके हैं...दांतों की जड़े नंगी हो चुकी हैं....इन में भी यह ठंडा गर्म की समस्या बहुत आम बात है ...लेकिन इन में से बहुत कम लोग ही किसी प्रशिक्षित दंत चिकित्सक के पास जाते हैं...बस अपने आप ऐसी ही ठंडा-गर्म पेस्टों के चक्कर में पड़ जाते हैं...रोग बढ़ता रहता है, लक्षण शायद कुछ समय के लिए दब जाते हैं...
 पायरिया रोग के लक्षण 

दंत-क्षय की वजह से 

बहुत बार दंत क्षय से जो दांतों में कैविटी हो जाती है उस की वजह से भी ठंडा-गर्म लगना शुरू हो जाता है..इस का उपचार यह होता है कि उस कैविटी वाले दांत की फिलिंग करवा ली जाए....बजाए इस के कि इन पेस्टों को घिसने के चक्कर में दांतों की कैविटी इतनी बड़ी कर ली जाए कि फिर उनमें आर सी टी ही करवानी पड़ जाए..

पुरानी फिलिंग की वजह से 
कुछ बहुत पुरानी फिलिंग में भी कभी माइक्रोलीकेज की वजह से (दांत और फिलिंग के बीच स्पेस बन जाना) भी यह ठंडे गर्म की शिकायत हो जाती है .. और कुछ फिलिंग्स ऐसी होती हैं जो कुछ समय के बाद सिकुड़ जाती हैं थोड़ा (shrinkage) ...इस से भी यह शिकायत हो जाती है ...ज़ाहिर सी बात है कि ऐसे में ये पेस्टें क्या कर लेंगी?...कुछ भी तो नहीं, बस समय ही बरबाद करने वाली बात है ...

ये तो कुछ आम कारण हैं जिनकी वजह से दांतों में ठंडा-गर्म लगने लगता है ..अगर आपने अच्छे से पढ़ा है तो आप को यह पता चल गया होगा कि बिना दंत चिकित्सक से उपचार करवाए बिना यह ठीक नहीं होने वाला ...बल्कि रोग बढ़ता ही चला जाता है ...

मुझे खुद याद नहीं मैंने कितने वर्ष पहले ये "ठंडा-गर्म ठीक करने वाली "पेस्ट किसी मरीज़ को इस्तेमाल करने की सलाह दी थी... लेकिन कई बार इलाज के दौरान कुछ मरीज़ों को थोड़े दिनों के लिए इस तरह की पेस्टें इस्तेमाल करने के लिए दंत चिकित्सक द्वारा कहा जाता है ...लेकिन चिंताजनक बात यही है कि लोग टीवी के चमक-दमक वाले विज्ञापन देख कर खुद ही इन्हें खरीदने लगते हैं....

हां, कभी कभी जब हम लोग आइसक्रीम खाते हैं तो दांतों में ठंडा लगता है थोडे़ समय के लिए...लेकिन अब तो हमने पार्टियों में आइसक्रीम के साथ साथ गर्म हलवा, जलेबी, इमरती भी उसी प्लेट में भरवाना शुरू कर दिया है ....दांतों की जान लोगे, यार ?


शुक्रवार, 21 अप्रैल 2017

सुनो रे भाई...ध्यान से सुनो!

आज मेरे पास एक ५६ वर्ष का एक मरीज़ आया था दांत की किसी तकलीफ़ के लिए... साथ में उस की बीवी थी जिसने मुझे शुरू में ही बता दिया कि इनको बिल्कुल भी सुनता नहीं है ..

बात करने पर पता चला कि पहले तो ठीक ठाक सुनता था लेकिन एक साल से जब से टीबी की डाट्स की दवाईयां चल रही हैं, इन को सुनना धीरे धीरे कम होने लगा ..और फिर पूरी तरह से ही सुनना बंद हो गया..

टीबी के इलाज के  लिए दी जाने वाली कुछ दवाईयों का यह साइड-इफैक्ट होता है कि श्रवण-शक्ति खत्म हो जाती है ... मैंने शायद ऐसा कोई मरीज़ पहली बार देखा था आज...वही बात है कि जिस के साथ कोई घटना घट जाती है उस की तो ज़िंदगी ही बदल जाती है ..

बीवी उस की बड़ी हिम्मत वाली लग रही थी, मैंने पूछा कि क्या कहते हैं विशेषज्ञ ..बताने लगीं कि कोई कुछ कहता है, कोई कुछ ..कोई कहता है कि सुनने लगेंगे ..कोई कहता है नहीं..

मैंने उसी समय नेट पर चैक किया तो पाया कि इन दवाईयों से जो श्रवण-शक्ति का ह्रास होता है वह स्थायी होता है ...मुझे दुःख हुआ...लेकिन मैंने उस महिला को यह नहीं बताया ...कोई आस लगाये बैठा है तो उसे कैसे यह सब बता दिया जाए।
नेट पर तो लिखा था कि जब इस तरह की दवाईयां चल रही हों और सुनने में थोड़ी सी भी दिक्कत होने लगे तो अपने चिकित्सक से तुरंत संपर्क करें, और बहुत बार उन की कुछ दवाईयां बदल दी जाती हैं...

छोटे बच्चों में ऐसा कईं बार देखा जाता है कि जब बचपन में उन्हें बहुत सी दवाईयां दी जाती हैं ..उन में से कुछ ऐसी होती हैं जिन की वजह से उन में बहरेपन की शिकायत हो जाती है...इसलिए शिक्षित लोग इस के बारे में थोड़ा सचेत रहने लगे हैं...

हमारे पड़ोस की एक बुज़ुर्ग महिला को एक दिन सुबह अचानक सुनना बंद हो गया ...पता तब चला जब वह सुबह उठी और उन्होंने अपने बेटे से कोई बात की ...उसने जवाब दिया तो वह कहने लगीं कि क्या बात है इतना धीमा क्यों बोल रहा है...बेटे ने कहा कि ऐसा तो नहीं है, मैं तो ठीक ही बोल रहा हूं....अगले दो मिनट में यह पता चल गया कि उस अम्मा को सुनाई नहीं दे रहा बिल्कुल ..एक कान से तो पहले ही सुनाई नहीं देता था ..छेद की वजह से ...लेकिन दूसरे कान से अचानक इस तरह से सुनना बंद हो जाना चिंता का कारण तो था ही ..

हमारा पड़ोसी अपनी अम्मा को ईएनटी विशेषज्ञ के पास ले गया ..वहां पर आडियोमिट्री जांच हुई ...पता चला कि श्रवण-शक्ति न के बराबर ही है ...

हां, बीच में एक बात बतानी तो भूल ही गया कि जब उस महिला को सुनाई देना बंद हुआ तो वह इतना घबरा गई कि उसे लगने लगा कि उस के गले में ही उस की आवाज़ दब रही है और बाहर आ ही नहीं रही है....लेेकिन ऐसा नहीं था, घर के दूसरे लोग उन की बातें सुन रहे थे ...लेकिन अब यह बात उन तक कैसे पहुंचाई जाए....उन के बेटे ने झट से एक कागज़ पर लिखा कि आप चिंता मत करिए, सब ठीक हो जाएगा....आप की आवाज़ हमें अच्छे से आ रही है, और हम अपनी बात आपसे लिख कर कर लेंगे .. तब कहीं जा कर उस अम्मा की जान में जान आई...

उस दिन शाम को अम्मा का बेटा जब मेरे साथ बात कर रहा था तो यही बात कह रहा था कि आदमी के लिए पढ़ा लिखा होना भी कितना ज़रूरी है ..यही शेयर करने लगा कि शुक्र है कि अम्मा पढ़ना-लिखना जानती है ...वरना उस तक इतनी बात भी हम लोग कैसे पहुंचा पाते कि उस की आवाज़ गले में दबी हुई नहीं है, हम अच्छे से सब कुछ सुन रहे हैं ...

मुझे भी याद आया उस समय हम लोग अपने ननिहाल में गये हुए थे ...ऐसे ही किसी बुजुर्ग औरत के साथ हुआ होगा ... अब वह पढ़ना लिखना जानती नहीं थी, उस तक घर वाले लोग कैसे अपनी बात पहुंचा पाते .......बात बहुत लंबी है....उस में ज़्यादा नहीं घुसेंगे .....बस, इतना ही बताना चाहूंगा कि धीरे धीरे उस महिला को गली-मोहल्ले वाले पागल ही समझने लग पड़े ....

हां, तो हमारी इस पड़ोसिन की दवाईयां चलीं....विशेषज्ञ ने पूछा कि मधुमेह रोग तो नहीं है.......इन की जांच दो साल पहले ही हुई थी तब तो नहीं थी, लेकिन इस बार जब जांच करवाई गई तो उसमें मधुमेह रोग होेेने की पुष्टि हुई ..उस की भी दवाई शुरू हो गई... और कान के लिए भी कुछ दवाईयां एक महीने तक चलीं....उम्मीद तो कोई नहीं थी कि श्रवण-शक्ति लौट आएगी, विशेषज्ञों को भी नहीं थी कोई खास उम्मीद ..लेकिन ईश्वरीय अनुकंपा.....उन की श्रवण-शक्ति उन के गुज़ारे लायक वापिस लौट आई है ...अब यह एक रहस्य ही रहेगा कि यह कैसे हुआ अचानक, मधुमेह की वजह से हुआ या उम्र की वजह से हुआ जैसा की विशेषज्ञ लोगों ने उन्हें बताया था.....लेकिन चलिए ... जो भी है ... बहुत अच्छा हुआ...दो चार दिन जब यह प्राबलम उन्हें हुई तो उन के घर से ज़ोर ज़ोर से भजनों की आवाज़ आती थी ...बहुत ही तेज़...क्योंकि वे स्वयं तो सुन नहीं पा रही थीं..

मेरे एक साथी डाक्टर हैं जिन की २५ साल की बेटी हर समय कान में एयरफोन लगाए रखती थी और सारा दिन मोबाईल फोन पर बातें....हो गया उस के भी एक कान का कबाड़ा ...थोड़ा बहुत ठीक तो हो गया है ..लेकिन एक कान में जो गड़बड़ी हुई है वह स्थायी है ...अब वे एयरफोन का इस्तेमाल ही नहीं करती ........अच्छा करती हैं!

यह एक तरह की सिरदर्दी हो गई है समाज में कि लोग हर समय कान में एयरफोन घुसाए रखते हैंं.... कान तो खराब हो ही रहे हैं...और कितनी बार आप भी पेपर में देखते होंगे कि कितने बड़े बड़े हादसे ...यहां तक कि कईं युवक इसी शौक की वजह से ट्रेन से कट गये क्योंकि ट्रेन की आवाज सुनाई ही नहीं दी ...

कल मैं सड़क के किनारे यह लखनऊ में एक जगह खड़ा था...मैंने देखा कि एक मशहूर बिरयानी की दुकान में पांच सात लोग काम कर रहे थे और सभी ने कानों में एयरफोन ठूंस रखे थे ...गड़बड़ तो है ही ... यह सब कानों की तकलीफ़ों को निमंत्रण देने वाली बातें हैं....और अकसर ये सब बड़ी तेज़ आवाज़ में म्यूजिक सुनते हैं...

रेडियो-टीवी तो मैं भी बहुत तेज़ सुनता था...और वॉक-मैन के ज़माने में टहलते वक्त ऊंची आवाज़ में बॉलीवुड गीतों को सुनना मेरी आदत थी ...फिर मुझे भी ऐसा लगने लगा कि मुझे ऊंचा सुनने लगा है...कोई पांच सात साल पहले की बात है .. उन्हीं दिनों मैंने एक लेख पढ़ा नेट पर और फिर मैंने उस पर लिखा भी ...उसमें यही बताया गया था कि किस तरह से ये एम-पी थ्री प्लेयर्ज़ हमें कानों की तकलीफ़ें दे रहे हैं.. पता नहीं उस दिन के बाद कभी इच्छा ही नहीं हुई एयरफोन्स का इस्तेमाल करने की .. अब कभी कभी लेपटाप पर पांच दस मिनट के लिए किसी पसंदीदा गीत को सुनने के लिए हैड-फोन लगा लेता हूं ...लेकिन वह भी बहुत कम ...

इतनी सारी बातें करने का मकसद?.....हम कुदरत की सभी नेमतों को बिल्कुल टेकन-फॉर-ग्रांटेड ले लेते हैं ...सब कुछ ठीक चल रहा है तो बहुत बढ़िया बात है ..जब कभी कुछ गड़बड़ हो जाती है तो नानी और नानी का पड़ोस याद आ जाता है ..इसलिए जो चेतावनी इन एयरफोन्स के बारे में और मोबाईल फोन पर लंबे लंबे समय तक बातें न करने की हिदायत दी जाती है ....उस के बारे में भी ध्यान दिया जाना चाहिए....क्या है ना, हम कह ही सकते हैं.....

मैं अभी बैठा यह सोच रहा था कि हमें ईश्वर ने आंखें, नाक, मुंह जैसे अनमोल अंग दिए हैं ... अच्छा बोलने, सुनने और देखने के लिेए.....लेकिन हम इतने ठंडे कैसे पड़ गये कि हमारे सामने कोई किसी की जान ले ले..हम देख रहे हैं ...लेकिन कोई भी हिल-जुल ही न हो ....आज दोपहर जब से मैंने टीवी पर जींद के एक मर्डर की तस्वीरें देखी हैं ना, मुझे बहुत बुरा लगा है ....


इतने सारे लोगों के सामने मर्डर हो गया सरेआम....किसी ने बीच बचाव करने की कोशिश भी नहीं की .......और सब से दुःखद बात यह कि इस मर्डर के दौरान सामने ही गोल-गप्पे बेचने वाला दुकानदार अपने गोल-गप्पे में पानी भरता रहा ....Shocking!

आने वाले समय की सूचक होती हैं इस तरह की घटनाएं.....थोड़ी कल्पना कीजिए कि अगर एक आदमी के साथ इस तरह की दरिंदगी हो सकती है और लोग देेखते रह गये .....ऐसे में महिलाएं के साथ इन रास्तों के बीच क्या नहीं हो सकता! .....
Bloody we all are hypocrites....

पाश ठीक ही कहता है ......

सबसे ख़तरनाक होता है
मुर्दा शांति से भर जाना
ना होना तड़प का
सब कुछ सहन कर जाना
घर से निकलना काम पर
और काम से लौट कर घर आना
सबसे ख़तरनाक होता है
हमारे सपनों का मर जाना......

    "सबसे खतरनाक वो आँखें होती है
जो सब कुछ देखती हुई भी जमी बर्फ होती है.."



गुरुवार, 20 अप्रैल 2017

पान मसाला छोड़ने के १५ साल बाद भी...

मुझे हमेशा से यह जिज्ञासा रही है कि पानमसाला छोड़ने के कितने अरसे के बाद मुंह के अंदरूनी चमड़ी की लचक लौट आती होगी ... लेकिन कभी किसी मरीज़ का इतने लंबे समय तक फॉलो-अप हो नहीं पाया कि इस का कुछ पुख्ता प्रमाण मिल पाता .. कारण कुछ भी हो सकते हैं...हम लोगों का ट्रांसफर हो जाता है, मरीज़ कब लौट कर आएंगे या नहीं, कोई भरोसा नहीं.. लेकिन मुझे यह जिज्ञासा तो हमेशा ही से रही..

आज से ९-१० साल पहले मैंने इसी ब्लॉग पर पोस्ट लिखी थी .. अब यह मुंह न खुल पाने का क्या लफड़ा है!  जब कभी भी मैं अपने ब्लॉग के स्टैटेस्टिक्स देखता हूं तो पता चलता है कि इसे इतने वर्षों से लोग निरंतर पढ़ रहे हैं ...रोज़ लगभग २०० पाठक इस पोस्ट पर आते है ं....किसी के कहने-कहलवाने से नहीं, बल्कि गूगल सर्च से वे इस पोस्ट तक पहुंचते हैं...सब कुछ पता चल जाता है .. मुझे लगता है कि मैंने वह पोस्ट इतनी अच्छी लिखी भी नहीं, तब मैं ब्लॉगिंग में नया नया था, जो सच लगा, लिख दिया था बस..

उस पोस्ट को पढ़ने के बाद मुझे लोग इस के इलाज के लिए ईमेल भेजते हैं... कि इलाज बताओ... मैं उन को सब से बड़ा इलाज तो यही बताता हूं कि आज ही से इस लत से छुटकारा पा लो....इस काम में उन्हें अपनी मदद खुद ही करनी पड़ेगी...कोई किसी की कोई लत नहीं छुड़वा सकता .. और कब मुंह की हालत बिल्कुल दुरुस्त हो जायेगी, इस के बारे में बिल्कुल कुछ नहीं कहा जा सकता...





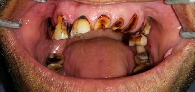
यह सारी भूमिका लिखनी ज़रूरी इसलिए थी क्योंकि कल मेरे पास एक ६१ साल की महिला आई थीं...अपने दांतों का इलाज करवाने के लिए....कोई परेशानी थी इस महिला को दांतों में...

मैं जब इस महिला के मुंह का परीक्षण कर रहा था तो मुझे मुंह के हालात कुछ ऐसे लगे जैसे कि यह पानमसाला खाती हों....ये लक्षण क्या हैं, इस के बारे में मैं बीसियों लेख इसी ब्लॉग पर लिख चुका हूं, अगर ज़रूरत हो तो सर्च कर लीजिए इसी ब्ल़ॉग को, मैं तो इन दस सालों में गुटखे-पान मसाले की विनाशलीला की ऐसी गाथाएं लिख चुका हूं कि एक ग्रंथ तैयार हो सकता है ...पर अब मैं यह सब लिख लिख कर पक चुका हूं...कोई सुनता है नहीं...और अगर सुनता भी है तो तब जब चिड़िया खेत को चुग कर उड़ चुकी होती है ....तब क्या फायदा!

चलिए, उस ६१ वर्षीय महिला की बात ही करते हैं.....इस महिला ने पानमसाला आज से १५ वर्ष पहले छोड़ दिया था....और जो इन्होंने मुझे बताया वह यह कि इन्होंने खाया भी कुछ महीने ही ... मैंने पूछा कि अचानक ४५ साल की उम्र में पानमसाला खाने की क्या सूझी? ...बताने लगीं कि इन के पति ये सब पानमसाला-गुटखा खूब खाते थे .. इसीलिए इन्होंने उन का छुड़वाने के लिए खुद भी शुरू कर लिया कि शायद पति को इसी बात से ही पानमसाले से नफ़रत हो जाए....लेकिन कुछ ही महीने खाने के बाद इन के मुंह में घाव हो गये...खूब उपचार करवाया ...और पानमसाला का त्याग किया, तब कहीं जाकर इन्हें इस तकलीफ़ से मुक्ति मिली ..

मैंने ये जो तस्वीरें इस पोस्ट में लगाई हैं ये सभी इन के मुहं की है ं....पानमसाला छोड़ने के १५ साल बाद अाज भी इन के मुंह में ओरल-सबम्यूक्सफाईब्रोसिस (मुंह के कैंसर की पूर्वावस्था --oral pre-cancerous condition) के सभी लक्षण दिख रहे हैं....इन के मुंह के अंदर गालों की चमड़ी एकदम सख्त है . और पीछे भी देखिए तालू के पिछले हिस्से में कैसे एक सफेद सा रिंग बना हुआ है ...(Blanched out appearance of oral mucosa) ...

मैंने पूछा कि आपने १५ साल पहले जब पानमसाला छोड़ा तो क्या मुहं खुलना कम हो गया था ...कहने लगी, नहीं,ऐसी तो कोई बात नहीं थी.... लेकिन जब मैंने पूछा कि तब आप पानी के बताशे खा लेती थीं, तब इन्होंने याद आया कि हां, हां, इसी से तो तकलीफ़ का पता चला था कि मैं पानी के बताशे जैसे ही खाने लगती, वे मुंह के अंदर ठीक से जा नहीं पाते थे और टूट जाते थे ....

लेकिन अब यह कहती है ं कि अब मैं पानी के बताशे ठीक से खा लेती हूं....वैसे भी आप देख सकते हैं कि ये दो उंगली से थोड़ा ज्यादा ही मुंह इन का खुलने लगा है ...मुंह के अंदर घाव भी अब नहीं होते ...



लेकिन ये कुछ अपनी जुबान के काले रंग और गालों के अंदरूनी हिस्से के अजीब से रंग के कारण चिंतित थीं....उन्हें बता दिया कि इस के बारे में घबराने की ज़रूरत नहीं ...यह बहुत बार हार्मोन्स की वजह से या शरीर में किसी तत्व की कमी की वजह से या कुछ दवाईयों के अधिक प्रयोग की वजह से भी हो जाता है ...इस के बारे में ज़्यादा न सोचें, जीवनशैली ठीक रहें, संतुलित आहार लें...

यह पोस्ट मैं कल ही से लिखना चाह रहा था, लेकिन इतनी गर्मी है कि इच्छा नहीं हो रही थी....इस बात को लिखना बेहद ज़रूरी था क्योंकि मेेरे मोबाइल में तो सैंकड़ों तस्वीरें पड़ी रहती हैं ...लेकिन दो दिन बाद मैं मरीज़ को भूल जाता हूं...इसलिए लिख नहीं पाता....यह तो ताज़ा ताज़ा वार्तालाप था, इसलिए लिख दिया...

लिखने का मकसद केवल इतना है कि पान-मसाले से होने वाले नुकसान का सब से उत्तम इलाज यही है कि इस लत को लात मार दीजिए आज ही ......और उसी दिन से आप को इस के फायदे महसूस होने लगेंगे ...मुंह के घाव आदि भरने लगेंगे ... लेकिन इस महिला के केस से इतना हमेशा याद रखिएगा कि सब कुछ एकदम से कुछ ही दिनों में अच्छा हो जायेगा, इस की उम्मीद भी मत करिए.....इतना तो है कि आप मुंह के कैंसर से बच जाएंगे.....लेकिन मुंह कितना खुल पायेगा, कितना नहीं, यह तो आप के दंत चिकित्सक ही आप के मुंह का परीक्षण कर के बता सकते हैं...

सीधी सीधी बात कहूं तो यह है गुटखे-पान मसाला खाने वाला कभी न कभी किसी बीमारी की चपेट में आ ही जाता है ... कह रहा हूं तो मान लो और इस खतरनाक खेल से तौबा कर लो ... मोटरसाईकिल में पैट्रोल डलवाते हुए मुंह में पानमसाला उंडेलने वाले लौंडों के लिए एक मरदाना टशन होता होगा ....लेकिन जब हम लोग किसी को मुंह के कैंसर की खबर सुनाते हैं या पहली बार संदेह की ही बात करते हैं  तो उस बंदे की हालत देखी नहीं जाती .. मैं तो आए दिन मुंह के कैंसर के नये मरीज़ देखता हूं और किस तरह से वे उस समय कहते हैं कि हम गाड़ी से नहीं, प्लेन सी आज ही टाटा अस्पताल चले जाएंगे ....लेकिन वे भी कौन सा जादू की छड़ी लेकर बैठे हुए हैं...

आज के लिए इतना ही ....अगर यह पढ़ कर अभी तक आप पानमसाला-गुटखे छोड़ने की योजना ही बना रहे हैं तो God bless you.....Panmasala-Gutkha is a killer...Quit this habit now ....मैं तो इसे भी आत्महत्या ही मानता हूं..
बच के रहिए, बचे रहिए....


रविवार, 16 अप्रैल 2017

क्या कोलेस्ट्रोल का कुछ लफड़ा है ही नहीं ?

हमारी सोसायटी में दो माली आते हैं ..जुडवां भाई हैं दोनों...साठ-पैंसठ साल के ऊपर के होंगे ...पतली-कद-काठी ...सारा दिन किसी न किसी घर के बेल-बूटों की मिट्टी के साथ मिट्टी हुए देखता हूं...आज शाम मैं बुक फेयर से लौट रहा था तो मैंने इन में से एक को देखा ...मैंने स्कूटर रोक लिया ...इन्हें मैं आते जाते माली जी, राम राम ज़रूर कहता हूं...मुस्कुरा कर जवाब देते हैं.. मैं रूका तो ये भी रूक गये...मैंने कहा ...यार, आप मेहनत बहुत करते हो...बताने लगे कि सुबह नौ बजे आते हैं और शाम पांच छःबजे लौटते हैं ...सारा दिन मैं इन दोनों भाईयों को अपने काम में मस्त देखता हूं...और शाम को ये ज़्यादा चुस्त-दुरूस्त दिखते हैं....लेकिन हम पढ़े-लिखे लोगों ने भी अपनी बेवकूफ़ी का परिचय तो देना ही होता है ..क्योंकि मैंने इन से यह पूछा...यार, आप थकते नहीं?....एक दो मिनट बातें हुई, हाथ मिला कर उन से छुट्टी ली .. (रोटी ये लोग साथ लेकर आते हैं, दोपहर में इन्हें कभी कभी खाते हुए देखता हूं..) 

बचपन में हमारे घर के पीछे एक बहुत बड़ा बागीचा था.. जिसमें तरह की सब्जियां, फल-फूल बीजने और उन की देखभाल करने के लिए (कभी सुबह, कभी शाम) जो नेकपुरूष आते थे उन्हें हम बाबा जी कहते थे....सारे घर के लिए ही वे बाबा जी थे...बड़ी सब्जियां उन्होंने खिलाईं,  उन के पास जाकर बैठ जाता मैं बहुत बार....इसी वजह से फूल-पौधों के प्रति प्यार भी पैदा होता चला गया...  एक तरह से घर के सदस्य जैसे थे ...सुबह जब नाश्ता बनता तो सब से पहले दो परांठे, आम का आचार और चाय का गिलास उन के पास लेकर जाने की ड्यूटी मेरी ही थी...हम लोग भी यही सब कुछ खाते थे .. 

कभी परांठे-वरांठे खाने में सोचना नहीं पड़ना था... कुछ लाइफ-स्टाईल ही ऐसा था, अब बाबा जैसे लोग या हमारी सोसायटी के माली जैसे लोग घी के परांठे खा भी लेंगे तो इन का क्या कर लेगा घी...इतनी मेहनत- मशक्कत...और हम लोग भी तब पैदल टहलते थे, उछल-कूद करते थे, साईकिल भी चलाते थे ..जंक बिल्कुल खाते ही नहीं थे, होता भी कहां था इतना सब कुछ उन दिनों.. बिल्कुल नाक की सीध पर चलने वाली सीधी सादी ज़िंदगी थी .. 

अभी अभी मेरी एक सहपाठिन का वाट्सएप पर मैसेज आया ...वाशिंगटन पोस्ट की एक न्यूज़ स्टोरी का लिंक था ...जिसमें लिखा गया था कि अब अमेरिकी संस्थाएं कोलेस्ट्रोल वाली चेतावनी हटाने के बारे में फैसला लेने ही वाली है ..

पंजाबी की एक कहावत है ... कि फलां फलां को तो जैेसे किसे ने उल्लू की रत पिला दी हुई है ....उल्लू की रत पिए हुए बंदे की हरकत यह होती है कि वह हर किसी की हां में हां मिलाते फिरता है .. (वैसे मुझे यह नहीं पता कि यह रत होती क्या है, बस कहावत है!!) 


मुझे यह सोचना बड़ा अजीब लगता है कि अमेरिका जो कहेगा हमें वही मानना होता है ...वह कहता है कि यह खराब है तो हम उसे मान लेते हैं, फिर वह कहता है कि इसे कम करो ये दवाईयां खा के तो हम दनादन दवाईयां गटकने लगते हैं... फिर यही कहता कि इन कोलेस्ट्रोल कम करने वाली दवाईयों के कुछ दुष्परिणाम भी हैं तो हम उन दवाईयों को हिचकिचाते हुए बंद कर देते हैं....फिर अचानक एक दिन ऐसी खबर मिलती है ... कि ये कोलेस्ट्रोल तो खराब है ही नहीं..

तब कभी आंवले की तासीर की तरह अपने बड़े-बुज़ुर्गों की बरसों से मिल रही नसीहत याद आती है कि सब कुछ खाओ करो ...और परिश्रम किया करो .. लेकिन हम उन की बात को लगभग हमेशा यह सोच कर नकार देते हैं कि नहीं, यार, इन्हें क्या पता साईंस का ...इन की मानेंगे तो थुलथुले हो जाएंगे.....(जो कि हम वैसे भी हो चुके हैं!!) 

इस में कोई संदेह नहीं है कि सेहत के जुड़ा कोई भी मुद्दा हो .. मार्कीट शक्तियां इतनी पॉवरफुल हैं कि हम बात की तह तक पहुंच ही नहीं पाते .. 

हां, तो जो वाशिंगटन पोस्ट का लिंक मेरी सहपाठी ने भेजा ..वह दो साल पुराना है ... लिखते लिखते मेरे जैसे लोगों को लाइनों के बीच भी पढ़ने की आदत हो जाती है .. (reading in between lines!) ...वैसे वह लेख बहुत बढ़िया है ... उस में ज्ञानवर्धक जानकारी भी है ..

सहपाठी ने यह ताकीद भी की थी कि इस विषय पर रिसर्च कर के ब्लॉग पर लिखना ...सब से पहले ..warning about cholesterol... को लिख कर ही गूगल सर्च किया तो ये रिजल्ट सामने आए.. 

American thinker का जनवरी २०१७ का यह ब्लॉग भी दिख गया .. आप इसे भी देख सकते हैं..Feds preparing to drop warning on Cholesterol 

यह खबर पढ़ने के बाद मुझे इच्छा हुई कि पिछले साल जो मैंने अपनी लिपिड प्रोफाईल करवाई थी, उसे ही देख लूं...कोलेस्ट्रोल तो 201mg% है और ट्राईग्लेसराईड का स्तर 274 है..जो कि सामान्य से लगभग दोगुना है

यह जो कोलेस्ट्रोल वाली चेतावनी को हटाने वाली बात है ...इस में कोई बात अलग नहीं लगती .....आज भी जो लोग मेहनतकश हैं (उदाहरण ऊपर आपने पढ़ीं) , उन्हें जब मक्खन-मलाई मिल जाती है तो उन्हें सोचना नहीं पड़ता ....और मेरे जैसों को आज भी सचेत रहने की ज़रूरत है ...Moderation is the key ...Balance is the keyword! ...हम लोग मेहनत करते नहीं, शरीर से काम लेते नहीं...खाने की इस तरह की खबरें ढूंढ-ढूंढ कर निकाल लेते हैं....सेलीब्रेट करते हैं कि चलिए, अब तो पाव-भाजी में मक्खन उंडेलने का लाईसेंस मिल गया .. और मैंने भी अपनी सहपाठिन को यही जवाब दिया कि ब्लॉग तो करूंगा ही .....लेकिन आज से ही दाल में एक चम्मच देशी घी उंडेलना शुरू कर रहा हूं....

मैंने यह बात कह तो दी .....लेकिन दिल है कि मानता नहीं.....मुझे नहीं लगता कि मैं अब फिर से बिना रोक टोक के मक्खन-देशी घी खाने लगूंगा ......अब आदत ही नहीं रही ...अंडा़ वैसे बचपन से ही नहीं खाया..जब मैंने अंडा खाना शुरु किया तो मुझे दो चार बार उल्टी हो गई ....बस, तब से अंडा कभी खाया ही नहीं... कोई और कारण नहीं, बस उस की smell नहीं सही जाती..

अच्छा फिर, यही विराम लगाते हैं.. ..एक गीत सुन लेते हैं..कल मैंने लखनऊ में एक कार्यक्रम में सुना था, बहुत दिनों बाद ....अच्छा लगता है बहुत यह गीत .......


अद्यतन किया ..9.45pm (१६.४.१७)....

 इस लेख पर एक टिप्पणी मित्र सतीश सक्सेना जी की आई है ...जिसमें इन्होंने एक लिंक दिया है ...अमेरिकी  नेशनल लाईब्रेरी ऑफ मैडीसन का जिस में इस तरह की एक रिपोर्ट का पोस्टमार्टम किया गया है जिसने कहा है कि दिल की बीमारी और कोलेस्ट्रोल का कोई संबंध नहीं ..

अमेरिकी नेशनल लाईब्रेरी ऑफ मैडीसन की रिपोर्ट का लिंक यह रहा ..जिसे पढ़ना भी ज़रूरी है ताकि हमारे आंखे अच्छे से खुली रहें .. Study says there is no link between cholesterol and heart disease. 

सतीश सक्सेना जी के बारे में बताते चलें कि इन का जीवन भी बडा़ प्रेरणामयी है ..इन्होंने ६१ साल की उम्र में जॉगिंग करना शुरू किया और अब ये दो तीन साल में ही मेराथान रनर हैं...

शनिवार, 15 अप्रैल 2017

गन्ने का रस - जब अज्ञानता भी अच्छी थी!

एक इंगिलश की कहावत है ...Ignorance is bliss! ... अनुवाद इस का शायद यही होगा ... अनाडी़पन भी अच्छा होता है! गन्ने के रस के बारे में बात बाद में करते हैं, पहले मेडलाइन प्लस पर उपलब्ध मैडीकल खबरों की खबर ले ली जाए...शायद सैंकड़ों लेखों के आइडिया मुझे इन खबरों से आया करते थे ...फिर एक दिन विचार आया..कि नहीं, क्या करना इतना मैडीकल ज्ञान लोगों की सीधी सादी ज़िंदगी में ठूंस कर ...अपने अपने हिस्से का ज्ञान सब जुटा ही लेते हैं कैसे भी...इसलिए मुझे इस तरह के भारी भरकम ज्ञान से एक तरह से चिढ़ ही हो गई...

आज मुझे ध्यान आया कि चलिए देखते हैं क्या खबरें कह रही हैं सेहत के बारे में ....पूरी लिस्ट देख ली, कुछ भी तो नहीं लगा जिसे आप से शेयर किया जा सके या जिस पर कोई टिप्पणी की जा सके ... यह रहा वैसे इस का लिंक ...मैडलाइन प्लस ... इस के बारे में इतना बताते चलें कि यह अमेरिकी नेशनल लाइब्रेरी ऑफ मैडीसन की साइट है जहां पर विश्वसनीय जानकारी उपलब्ध रहती है .....

लेकिन वही बात है इतना भारी भरकम ज्ञान ढोने से क्या हासिल ....हमारे तो मुद्दे हैं, दूषित पानी से कब राहत मिलेगी, मच्छरों का आतंक कब कम होगा, और गन्ने का रस पिएं या ना पिएं !!

कल सुबह मैंने एक लेख ठेला था फलों के रस का सच हम जानते तो हैं, लेकिन ...

उस लेख पर एक कमैंट मुझे आया वाट्सएप पर जिस में मित्र ने लिखा कि ये फलों का जूस बेचने वाले भी कईं तरह के शोषण का शिकार होते हैं...इन्हें भी कुछ पुलिसवालों को मुफ़्त में जूस पिलाना पड़ता है और चूंकि ये लोग अपना धंधा खुले में तो कर नहीं सकते, ऐसे में इन्हें फंसाने का डर दिखा कर भी कुछ लोग इन से पैसे ऐंठ लेते हैं.. इसलिए ये लोग मुनाफ़ाखोरी के चक्कर में फिर जूस में मिलावट करना शुरू कर देते हैं...

लेकिन बात वही है कि अगर जूस वालों का शोषण हो रहा है तो वे कैसे पब्लिक की सेहत के साथ खिलवाड़ करना शुरू कर सकते हैं! बीमार लोग अगर ऐसे जूस को पिएंगे तो वे और बीमार तो होंगे ही ..जब कि सेहतमंद लोग ही इसे पीकर बीमार हो जाते हैं .. इतने भयंकर कलर्ज़-़़कैमीकल्ज़ एक बार शरीर में गये तो ये लिवर और गुर्दे के सुपुर्द हो गए...अब ये इन अंगों में तबाही मचा के रख देते हैं....इन अंगों की कार्यप्रणाली को तो नुकसान पहुंचाते ही हैं, कैंसर जैसे रोगों का कारण भी बनते हैं...

एक मित्र ने इलाहाबाद की एक जगह का नाम लिखा ...कि वहां पर १० रूपये का मौसम्मी का जूस मिलता है लेकिन उन्हें समझ नहीं आ रहा था कि  यह कैसे इतने में बेच लेते हैं...लेकिन मौसम्मियों में इस तरह के मीठे पानी आदि के टीके लगाने वाली बात से कुछ समझ में आया तो है ...लेकिन उन को यह संशय अभी भी है कि इतनी सारी मौसम्मियों को टीका लगाना भी तो बड़ा मुश्किल काम है! ......अखिलेश जी एक बैंकर हैं जिन्होंने यह लिखा है .. अखिलेश जी, यह कोई मुश्किल काम नहीं है...कौन सा डाक्टरी ताम-झाम के साथ टीके लगने हैं...जो पानी हाथ में आया, जो सूईं मिली....ठेल दिया टीका...आप ने पिछली पोस्ट की वीडियो में देखा ही यह सब कुछ कैसे हो रहा था।

वैसे मैं भी इस तरह के संशय से गुज़र चुका हूं...आज से २५-२६ साल पहले हम लोग जब बंबई रहने के लिए गये तो मैं देखा करता कि लोकल स्टेशनों के बाहर बड़े बडे़ टबों में संतरे का जूस ३-३, ५-५ रूपये में बिक रहा होता .. देखने में वह जूस ओरिजनल जूस जैसा ही दिखता ... लेकिन पिया कभी नहीं मैंने ...ग्राहकों को भ्रमित करने के लिए उन्होंने उसी टब पर रखी लकड़ी पर बीस तीस निचोड़े हुए संतरे भी रखे होते थे ... लेकिन जितना जूस उस टब में होता...वह एक संतरों से भरे हुए एक टैंपो का ही लगता!

बहरहाल, गड़बड़झाला तो है सब जगह ... यह आप के ऊपर है कि आप किसे चुन रहे हैं... हां, गन्ने के रस की बात हो रही थी कि वह ही सब से बढ़िया है....बेशक, बढ़िया तो है ...लेेकिन डाक्टर लोग जैसे ही गर्मी आती है, गन्ने का रस बिकने लगता है तो सचेत करने लग जाते हैं कि अब पीलिया के केस भी बहुत आने लगे हैं...बच के रहिए...

गन्ने का रस मुझे बेहद पसंद है ....जब गन्ने के रस के गिलास में उस रस के अलावा कुछ नहीं दिखता था, तब इस रस का खूब लुत्फ़ उठाया... तीन चार गिलास एक साथ पीना आम बात थी ... अदरक, नींबू, बर्फ़ डाल कर ... रस निकालने वाली मशीन में गन्ने के रस साथ उस के पतीले में जाने वाले मशीन के तेल को भी देख कर भी नज़रअंदाज़ कर देते थे ...कि छोड़ यार, सब पी रहे हैं ना, कुछ नहीं होगा..। बर्फ़ के बारे में सोचते थे ही नहीं....गन्नों की साफ़ सफ़ाई का कुछ पता नहीं था..

४० साल पहले की बात करें तो एक जगह से स्कूल से लौटते समय गन्ने का रस पीते थे .. जहां पर एक बैल को (कोल्हू वाले बैल की तरह) जूस निकालने के लिए गोलाकार में घुमाया जाता था .. दूर से दिखता था कि गन्ने के रस के साथ कितना मशीन का तेल उस बाल्टी में जा रहा है .....लेकिन वही बात है ... अनाडी़पन में सब कुछ चलता है..आगे पीछे कुछ नहीं दिखता..

१९८० में पीलिया हो गया, किसी डाक्टर से परामर्श नहीं, कोई टेस्ट नहीं, कोई उपचार नहीं ...बस, पड़ोसियों के कहने पर रोटी छुड़वा दी गई और रोज़ाना पांच सात गिलास गन्ने के रस के पीने को मिलने गये .....

फिर लोगों में जागरूकता आने लगी .. गर्मी के दिनों में गन्ने का रस बेचने पर प्रतिबंध लगने लगा ...सरकारी फरमान जारी होने लगे ... लोग खूब धूप बत्ती लगा के मक्खियो ंको दूर रखने लगे .. लेकिन मुझे बंबई में गन्ने का रस पीने में कभी भी झिझक नहीं होती ...वे लोग गन्ने को धोते हैं ...पोंछते , साफ़ करते हैं .. और ध्यान करते हैं कि मक्खियां आसपास बिल्कुल नहीं हों...अधिकतर बंबई में ऐसे ही बिकता है गन्ने का रस ... कुछ साल पहले मैंने हैदराबाद में भी इतनी साफ सफाई से ही गन्ने का रस तैयार होता और बिकता देखा...कईं जगहों पर तो गन्नों का छिलका भी पहले उतार लिया जाता है और इन को रखा भी सलीके से जाता है ...बहुत अच्छा लगता है यह सब देख कर ...

जैसे ही गर्मियां आती हैं और गन्ने का रस बिकता दिखता है तो मैं डाक्टरी के अधकचरे ज्ञान को बड़ा कोसता हूं...सच में यह अधकचरे से भी कम ही है ...बस इतना है कि इन छोटी छोटी खुशियों से दूर रखता है ... मुझे अपने स्कूल-कालेज के दिनों की तरह तीन चार गिलास गन्ने का रस पीने की तमन्ना तो बहुत होती है .....लेकिन मैं पी नहीं पाता .... डर लगता है जिन खराब हालात में यह सब काम हो रहा होता है ...

यह एक ऐसा मुद्दा है जिस में कोई किसी को सलाह नहीं दे सकता ...और जहां तक सलाह की बात है ..लोग गुटखे-पान मसाले को थूकने की सलाह तो मानते नहीं है, फिर गन्ने का रस पीना किसी के कहने पर भला क्यों छोड़ने लगे!

गन्ने के रस में कोई बुराई नहीं है ज़ाहिर सी बात है ... लेकिन मशीन की साफ़ सफ़ाई, बर्फ़ की क्वालिटी, आस पास की साफ़ सफ़ाई ... ये सब बातें देख कर आप को स्वयं ही यह निर्णय लेना होता है कि आप यहां से रस पिएंगे या नहीं, मैं तो ऐसा ही करता हूं ....किसी दुकान पर रूक कर बिना जूस पिए आगे बढ़ने से मैं झिझकता नहीं (चाहे मैं वैसे परले दर्जे का संकोची प्रवृत्ति का हूं) .....आखिर यह हमारी सेहत का मामला है !

फैसला आप के भी अपने हाथ में ही है ... कि गन्ने का रस पिएंगे और कहां से पिएंगे? लेकिन पता नहीं मुझे कैसे बैठे बैठे यह गीत ध्यान में आ गया ... हा हा ह हा हा हा हा ...आप भी सुनिए...गोरों की न कालों की, दुनिया है दिलदारों की ...


शुक्रवार, 14 अप्रैल 2017

खतो- किताब़त - तब और अब

मुझे याद है कि हमारे घर के आस पास तीन चार घरों में मेरा स्कूल से लौटने का इंतज़ार हुआ करता था...उन घरों में रहने वाले अपने हमउम्र साथियों के साथ खेलने-कूदने के लिए भी और उन के यहां आई चिट्ठी को पढ़ने के लिए भी .. दो बार चिट्ठी पढ़वाई जाती थी ..

और  फिर शाम को मेरे को उस का जवाब लिखने के लिए बुक कर लिया जाता था...

ये सब छठी-सातवीं-आठवीं कक्षा की बातें हैं...मेरे लिए इतनी ही गुदगुगी काफी थी शायद कि इतनी लाइमलाईट मिल रही है ..जब मैं उन का खत लिखने जाता हूं तो मेरे को आराम से बैठने के लिए कुर्सी दी जाती है ...और बाकी सब चारपाईयों पर बैठ कर अपनी अपनी बात मेरे तक पहुंचाने लगते...

अच्छा, मोहल्ले में चिट्ठे लिखने में डिमांड मेरी ही ज़्यादा थी .. इस का कारण था कि मैं कभी भी इस काम में जल्दबाजी नहीं करता था, कभी नहीं...कि किसी ने बुलाया है और इस का जैसा तैसा खत लिख कर पीछा छुडा़ना है..कभी ऐसा करना तो क्या, ध्यान भी नहीं आया, इत्मीनान से बैठ कर लिखता था...

आप किसी के घर की दो चार चिट्ठीयां पढ़ लो और इतनी ही चिट्ठीयों का जवाब लिख दो तो आप को उस घर की थोड़ी बहुत जन्मपत्री समझ आने लगती है ...लेकिन उस समय में बालमन को इन सब से क्या लेना देना, बस इतना हो जाता था कि मुझे उन के सगे संबंधियों के नाम-पते और किस को नमस्कार और किस को प्यार-दुलार भेजना है ...यब सब याद हो जाता था...क्योंकि हिंदोस्तानी चिट्ठीयाें में भूमिका और उपसंहार में तो यह सब ही ठूंसना होता है ...

हां, एक बात और ...मुझे कैसे पता चलता था कि मैं यह चिट्ठाकारी का काम अच्छे से कर रहा हूं कि नहीं...यह भी एक राज़ की बात है ..

मेरी नानी जो अंबाला रहती थीं..वह भी हमें पोस्टकार्ड भिजवाती थीं लेकिन पड़ोस के बच्चों के लिखवा कर ... उन खत़ों को पढ़ कर मुझे झट से समझ आ जाता था कि इन्हें पढ़ कर कुछ मज़ा आया नहीं...ख़त को थोड़ा चटपटा भी हो बनाना चाहिए...पहली तो बात है जैसी भी आप की लिखावट है, उसी से ही अगर हम इत्मीनान से लिखें तो खुशख़त तो बन ही जाएगा..लेकिन अगर घसीटे मारने की ही ठान ली है तो कोई किसी का क्या कर लेगा!

और हां, इन खतों को पढ़ कर मेरी मां भी अकसर कहती उस लड़की का नाम लेकर कि यह पता नहीं कैसे लिखती है... और जब नानी से मिलना होता तो पता चलता कि उन्हें उन चंद लाइनें लिखवाने के लिए भी कितनी खुशामद करनी पड़ती ..

तो ये सब बातें मेरी समझ में छठी सातवीं कक्षा से ही आने लगी कि कोई अगर यह काम कहे तो अपने सब काम छोड़ कर पहले उस का यह काम निपटा आना चाहिए...क्योंकि यह भी एक तरह की एमरजैंसी ही हुआ करती थी ... और जिन के खत़ मेैं लिखा करता उन के रिश्तेदारों की भी मिलने-जुलने पर उन से यही फरमाईश हुआ करती कि जिस ने वह वाला ख़त भेजा था, उसी से ही लिखवाया करो ...


अभी मुझे कुछ ध्यान आया ...मैंने अपने इसी ब्लॉग पर कुछ ढूंढना था...गूगल सर्च किया ...वह कुछ तो नहीं मिला जो मैं ढूंढ रहा था लेकिन दादी की याद मिल गई एक पोस्ट कार्ड पर लिखी हुई ..अभी आप से साझा किए दे रहे हैं.. और अपनी एक फोटू भी दिख गई ...गूगल पर पड़ी हुई...ऐसे ही नहीं कहते कि इंटरनेट पर जो कुछ भी करते हैं, सब जमा हो रहा है ....net footprints के बारे में सचेत रहने की ज़रूरत है .. आज कल तो कईं जॉब्स के लिए वे ये सब भी पहले देखते हैं..



खत कैसे इत्मीनान से लिखा जाता है इस की ट्रेनिंग मुझे अपने माता पिता से भी मिली ..विशेषकर पिता जी से ...वह सच में बहुत ही बढ़िया इंगिलश और उर्दू में ख़त लिखा करते थे...और किसी का भी खत आए, उस का जवाब उन्होंने अच्छे से देना ही होता था ... और बहुत साफ़ लिखते थे ...

मैं अकसर यही सोचता हूं कि चिट्ठी वह होती है जो दिल को दिल से जोड़ने का काम करती है ...यह छोटा मोटा काम तब नहीं होता जब यह काम आप किसी के लिए यह कर रहे होते हो, यह आप पर है कि आप उसे नीरस बना दें और आप चाहें तो उस में ऐसे रंग भर दें कि ठिकाने पर पहुंच कर वह कागज़ का टुकड़ा सारे माहौल को खुशगवार बना दे.....दुनिया में सब जादू शब्दों का ही है, बोले हुए, लिखे हुए और जो कभी न कहते हुए भी आंखें कह गई ....उन शब्दों का भी ... ये जो तीसरी क्षेणी वाला संप्रेष्ण है इस की अहमियत को हम कम आंक लेते हैं ...लेकिन ऐसा है नहीं...

कौन सी चिट्ठी ऐसी होती है जो अपना प्रभाव छोड़ देती है ...उस को कैसे लिखना चाहिए...इस का एक नमूना मुझे छठी सातवीं कक्षा में लिखने का मौका मिला....मेरेे पिता जी का एक अफसर लोगों को बहुत तंग किया करता था ..मुझे एक दिन पिता जी ने कहा कि हिंदी में एक चिट्ठी लिखो....मुझे याद है मैं वही छठी-सातवीं कक्षा में था, वे बोलते गये, मैं लिखता गया...तीन चारे बडे़ पन्ने भर गये ....बीच बीच में पिता जी कुछ संशोधन करने को कह देते ...ऐसे में मैंने वह चिट्ठी फिर से साफ़-साफ़ लिख कर तैयार कर दी ...अब फोटोस्टैट वैट तो होती नहीं थी उन दिनों... मैंने दो तीन कापियां भी बना दीं उन के कहने पर, जहां तक मुझे अब याद है ...और उस चिट्ठी का असर भी हुआ.....मुझे यह भी पता चला...

उस चिट्ठी के बहाने मुझे कईं नईं शब्द सीखने का मौका भी मिला....एक शब्द जिसे मैं आज भी याद करता हूं तो हंसने लगता हूं ...उस चिट्ठी में पिता जी ने उस अधिकारी द्वारा गुलछर्रे उड़ाने की बातें भी लिखवाई थीं...अब मुझे लग रहा है कि मैंने ज़रूर गुलछर्रे को गुलछरे ही लिखा होगा ...

बस, बात को बंद करता हूं यहीं ...खत लिखते रहना चाहिए...आदत बनी रहती है ...यह बहुत जरूरी है ...पहले हमें साधारण डाक पर भरोसा होता था ....अब धीरे धीरे वह खत्म होता जा रहा है ...बड़ी बहन ने जयपुर से एक साधारण चिट्ठी भेजी है कुछ कागज़ भेजे हैं...तीन चार बार पूछ चुकी हैं पिछले पांच सात दिनों में ...लेकिन अभी तक यहां लखनऊ में नहीं पहुंची ....कल तो कहने ही लगीं...साधारण डाक का यही पचड़ा होता है! ..... लेकिन हम सब लोग उसी साधारण पोस्ट-कार्ड- अंतर्देेशीय ख़त को लिखते-पढ़ते मानवीय संवेदनाओं को समझने की कोशिश करते करते ही बड़े हुए हैं.....

वैसे अब हम लोग अपने नाते-रिश्तेदारों को खत लिखते ही कहां है, ये सोशल मीडिया पर ही दो चार शब्द लिख कर हॉय-हैलो हो जाता है, मिठाई भी वाट्सएप पर आ जाती है, शगुन भी, और होली के रंग और दीवाली के पटाखे भी सब कुछ इसी पर आ जाता है ...परिभाषाएं बदल गई हैं बहुत सी ......काश, हम पुरानी परिभाषाओं को भी कभी कभी याद रखा करें... उन में ज़मीन की सौंधी खुशबू है ....आज के नये मीडिया से यह सब गायब है .. यकीन नहीं होता? ...चलिए, फिर राजेश खन्ना साहब को सुनते हैं.....


निदा फाज़ली साब के वे अल्फ़ाज याद आ गये ... 
सीधा सादा डाकिया जादू करे महान् 
एक ही थैले में भरे आंसू और मुस्कान 

मनाली में खींची यह फोटो भी आज गूगल सर्च से ही मिली ... 



इस ब्लॉगिंग को चिट्ठाकारी भी कहते हैं....ब्लॉगिंग तो फिरंगी शब्द है .. और मैं तो बहुत बार मज़ाक में कहता हूं कि मुझे इस तरह का ही काम पसंद है जहां पर मुझे लोगों के लिए सभी तरह की चिट्ठीयां लिखने का काम मिले ... फ्री में ....पास एक दान-पत्र रख दिया जाए....जिस की जो श्रद्धा हो उस में डाल जाए, नहीं तो कोई बात नहीं.. (जो दे उस का भी भला, जो न दे उस का भी भला...) इस दान-पात्र वाली बात पर मेरे दोस्त बड़े ठहाके लगाते हैं ....मुझे लगता है कि ज़िंदगी के किसी न किसी पढ़ाव पर यह काम भी कर के ही रहूंगा ... आमीन!

गुरुवार, 13 अप्रैल 2017

वैसाखी मुबारक

आज कल त्यौहारों का पता भी टीवी या अखबार से ही पता चलता है कईं बार .. हमें छुट्टी भी नहीं है आज...

वैसाखी की मुबारक....आज वैसाखी वाले दिन सुबह सुबह बस कुछ पंजाबी गीत जो ध्यान में आए ... वे देखे और यहां शेयर कर रहा हूं...लिख कुछ नहीं रहा ..








बस जी हमारी वैसाखी तो मन गई....बस, शाम को जलेबियां खाने की कसर है.....

यह भी आराम है, पंजाब से बाहर लखनऊ में बैठ कर वैसाखी का जश्न भी यू-ट्यूब पर ही हो जाता है ... 




फलों के रस का सच हम जानते तो हैं, लेकिन ...

मैंने १० साल पहले जब एक साथ अपने तीन चार ब्लॉग शुरु किये तो उन में से एक का नाम था ...हैल्थ टिप्स...

मुझे लिखने के लिए विषय ही ध्यान में नहीं आते थे...ऐसे ही एक दिन मैंने बाज़ार मेें बिकने वाले जूस पर कुछ लिखा था जिस का लिंक नीचे दिया है ...


पिछले कुछ वर्षों में भी लिखता रहा हूं कभी कभी इस विषय पर ...लेकिन कल एक मित्र ने फेसबुक पर एक वीडियो शेयर करी थी...यही जूस बनाने-पिलाने वाले गोरखधंधे के बारे में ..

इस में कुछ ऐसा देखा मौसंबी जूस के बारे में जिस की वजह से मुझे लगा कि यह तुरंत शेयर करने योग्य है ...

दरअसल बाकी सब बातों से मैं परिचित था ...लेकिन मौसंबी को भी इस तरह से टीके लगा कर भारी किया जाता है, यह शायद पहली बार मेरी नज़रों के सामने आया...

कल तक मैं बाज़ार में मिलने मौसंबी जूस को सब से ज़्यादा सेफ़ समझा करता था कि इसमें कोई मिलावट वाली हरकत नहीं होती होगी...लेकिन खुराफ़ाती लोग तो ठहरे नटवरलाल....

अब कोई यह तर्क दे कि बड़े बडे़ ठेकेदार करोड़ों रूपये के बिल्डिंगों के घोटाले कर जाते हैं...उन्हें कोई नहीं छूता... और ये छोटे मोटे व्यापारी ही सब लोगों को दिखते हैं....

ऐसा नहीं है, देर सवेर सभी घोटालेबाज काबू में आ ही जाते हैं...लेकिन छोटे धंधे के बहाने ऐसा नहीं है कि इन को छोड़ दिया जाए....कोई बीमार है, कितनी उम्मीद के साथ वह जूस पीता है कि वह अब ठीक हो जाएगा.....लेकिन ठीक क्या खाक होगा, ऐसा जूस पीने से वह....

मैं भी बाज़ार में केवल मौसंबी का जूस ही पीता हूं ..लेकिन अब यह वीडियो देखने के बाद तो यह भी नहीं पिया जायेगा...

हमेशा से ही यह प्रश्न तो रहा ही है कि ये जूस वाले ऊंची जगह में ग्राहकों की नज़रों से बच कर ही क्यों जूस बनाते हैं...पुराने दिनों में सब को लगता था कि थोड़े खराब फल भी ठेल देते होंगे, लेेकिन फिर भी लोग चुप थे....और यह भी लगता था कि पानी या बर्फ़ खूब मिला देते होंगे, यह भी सच तो था ही लेकिन कोई चारा था भी तो नहीं ...अगर जूस पीने गये ही हैं...

आपने भी नोटिस किया होगा कि फलों का रस बेचने वाला आपके सामने कुछ नहीं करता...

वैसे भी जूस की बजाए आप फल ही खा सकें तो और भी अच्छा... तीन चार संतरे खा लेंगे, दो तीन कीनू खा लेंगे तो हो गया ना जूस, और जो फाईबर वाला तत्व है वह भी आप तक पहुंच गया....लेकिन हां, कईं बार शारीरिक रूप से अशक्त लोगों के लिए, बड़े बुज़ुर्गों के लिए जो अधिक चबा नहीं पाते ... थक जाते हैं....या छोटे बच्चे हैं, इन सब के लिए जूस हो सके तो घर पर ही तैयार करिए...

एक बात ....अगर आप को लगता है कि आप जहां से जूस पीते हैं वह बंदा यह सब नहीं करता तो भी यह एक खुशफहमी हो सकती है, मुझे तो यही लगता है ... कहां तक धक्के खा खाकर यह पता करने की कोशिश करते रहेंगे कि कौन असली है, कौन मिलावटी, कैसे ढूंढ पाएंगे...
असली नकली चेहरा तो फिर भी पता करना आसान है, लेकिन इन मिलावटी चीज़ों का पता लगाना एक दम मुश्किल ...

मुझे अभी ध्यान आया कि बाकी फलों के रस तो अकसर लोग घर में निकाल ही लेते हैं...लेकिन मौसंबी से जूस निकालने को ही बड़ी सिरदर्दी समझा जाता है ...मैंने सोचा कि आप को मौसंबी जूस निकालने वाली मशीन के इस्तेमाल का तरीका ही बता दिया जाए...बहुत सारे बंधु तो जानते होंगे, कुछ के लिेए नया होगा....




सब कुछ तो दिख ही रहा है इस मशीन के इस्तेमाल के बारे में, अब मैं किस चित्र को लेबल करूं!

हां, एक बात जाते जाते जोड़ना चाहता हूं कि आज कल डिब्बेबंद फलों के रस का चलन बहुत होने लगा है ...मैंने शायद १० साल पहले भी इन सब के बारे में कुछ लिखा था...लिंक नीचे दिया है ...


लिंक तो लगा दिये हैं मैंने अपने १० साल पुराने लेखों के ..लेकिन मुझे सच में पता नहीं कि मैंने इतने साल पहले इन में क्या लिखा था, लेकिन मैं इन लेखों को बाद में कभी पढ़ता नहीं हूं....क्योंकि मुझे फिर से याद आ जाता है कि मैं कितना बकवास लिखता हूं ......इसलिए मैं इन से हमेशा बचता हूं, जैसे हलवाई अपनी दुकान की मिठाईयों से बचता फिरता है..उसे उन मिठाईयों के अंदर की खबर होती है .....इसलिए मैं भी इस खुशफ़हमी में ही जीना चाहता हूं कि मैं रद्दी नहीं लिखता...

मैं सोच रहा था कि यह मशीन देखने में थोड़ी हार्ड-कोर दिख रही है लेकिन इस्तेमाल करने में बहुत आसान है ...

अचानक  पंजाबी सिंगर Hard Kaur का ध्यान आ गया है, इसलिए यह गीत लगा रहा हूं..